Перекрестный прикус.

3 минуты на чтение
3
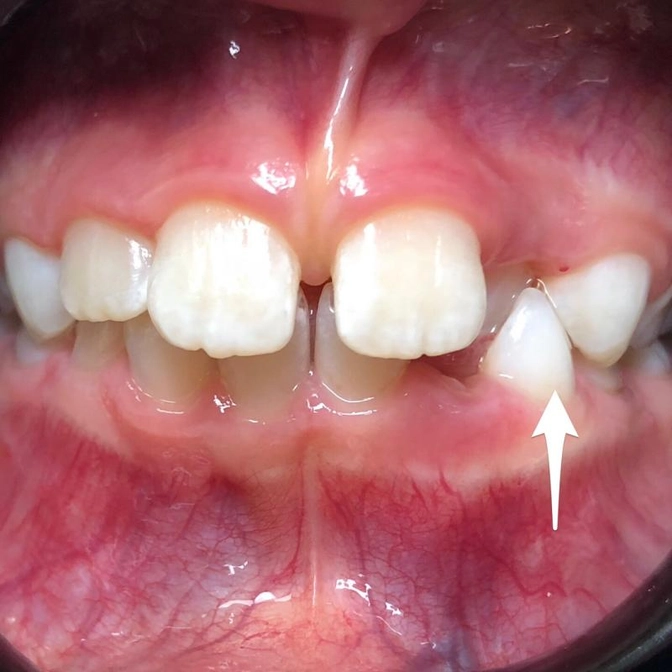
☝Все внимание на нижний клык
Указала на него стрелкой для наглядности
Он молочный
Поменяется позже
Примерно в 10-11 лет (это если брать во внимание средние сроки смены молочных зубов)
Но вот какая история: он собою «заслоняет» верхний боковой резец
А он уже постоянный.
☝И теперь самое интересное
Почему так произошло?
Когда на месте ныне «задвинутого» зуба был молочный, он никак не мог выпасть.
Долго шатался.
А постоянный зуб тем временем стал прорезаться вторым рядом - за молочным.
Когда все-таки молочный зуб выпал, постоянный оказался в неочень выгодном положении.
Его перекрыл клык снизу.
Получился замок, который теперь раскрыться самостоятельно вряд ли сможет.
Понадобится помощь врача ортодонта
Вывод: следим не только за чистотой зубов, но и за своевременной их сменой.
Ведь многие проблемы можно избежать, периодически заглядывая ребёнку в рот.
Читайте также






