Отбеливание зубов: нюансы.

3 минуты на чтение
3
В регулярной гигиене и отбеливании у стоматолога.
Перед процедурой отбеливания нужно сделать профессиональную чистку зубов.
Это важно!
• С зубов счищается налет и камень, и ведется работа с деснами;
• Далее снимается пигментированный налет;
• Зубы полируются;
• Проводится реминерализирующая терапия - зубы покрываются фторлаком.
✔Спустя 1-2 недели после гигиены назначается отбеливание зубов.
Эта процедура может быть болезненной.
Поэтому предварительно дома ежедневно наносите на зубы реминерализирующие средства, которые вам назначит врач.
Почему я рекомендую отбеливать зубы в условиях кабинета стоматолога, а не дома?
Десны при отбеливании нужно хорошо изолировать от воздействия геля и света.
Врач справится с этим легко, а вот проводя процедуру дома, вы рискуете получить ожог слизистой.
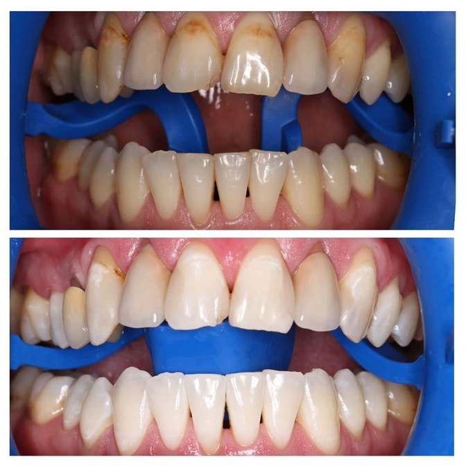
Работа на этом фото числится за Алексеем Шокуровым.
У пациента имеются коронки.
ВАЖНО! Коронки и пломбы НЕ ОТБЕЛИВАЮТСЯ, они остаются того же цвета, что и были.
Отбеливание в этом случае - только первый этап.
В дальнейшем планируется протезирование, и цвет будущих коронок будет подгоняться к цвету уже отбеленных зубов.
Напомню, что делать после отбеливания:
✔1 неделю не есть и не пить ничего красящего ("белая" диета - исключаются чай, кофе, ягоды, красное вино и др.).
✔Возможно потребуется ношение специальных кап со специальным отбеливающим средством.
Читайте также






