От чего возникает флюороз и как он выглядит?

3 минуты на чтение
2
Скорее ее мама тревожилась, и, кстати, тому есть причины.
Девочке 11 лет, живет она в Подмосковье.
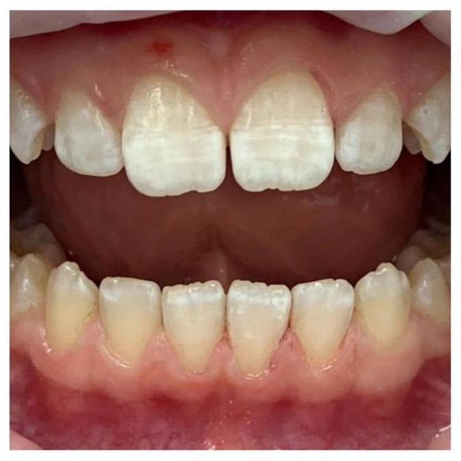
Зубы постоянные с вот такими пятнами, а на молочных, со слов мамы, такого не было.
Так выглядит заболевание ФЛЮОРОЗ.
Ближайшее Подмосковье славится им, коллеги-стоматологи подтвердят.
В водопроводной воде в этой местности содержится чрезмерное количество фтора.
Именно он вызывает появление таких пятен на зубах.
➡Флюороз - порок развития зубов, возникающий при длительном употреблении воды или продуктов с повышенным содержанием фтора в первые годы жизни.
Заболевание эндемического характера, т.е. характерно для местности, в питьевой воде которой превышено содержание фтора.
Помимо этого причиной может стать проглатывание детьми фторсодержащей зубной пасты.
Разделяют несколько визуально отличимых форм флюороза:
• Штриховая;
• Пятнистая;
• Меловидно-крапчатая;
• Эрозивная;
• Деструктивная.
Первые три формы характеризуются определенными цветовыми несоответствиями - зубы могут быть с белыми штрихами, пятнами, вкраплениями.
Зубы, поражённые одной из двух последних форм флюороза, помимо несоответствия цвету имеют нарушения целостности твердых тканей (эрозии, изъязвления, вплоть до полного отсутствия эмали).
Важно!! Флюороз возникает ДО ПРОРЕЗЫВАНИЯ ЗУБОВ.
То есть чрезмерное поступление фтора в организм оказывает влияние в период ФОРМИРОВАНИЯ зубов ДО их появления.
Не бывает так, что зубы прорезались нормальными, а потом на них появился флюороз.
В экологически неблагоприятных регионах с повышенной концентрацией фтора в питьевой воде в дошкольном возрасте (дети до 5 лет) целесообразнее использовать пасты без фтора.
Однако, если водопроводная вода полностью заменена на бутилированную, применение фторсодержащих паст смысл имеет.
Поинтересуйтесь, не является ли ваш регион проживания тем самым, где уровень концентрации фтора в водопроводной воде выше нормы.
✔Оптимальная концентрация фтора в
водопроводной воде 0,7-1,2 мг/л;
➡нижняя граница нормы 0,5 мг/л;
➡верхняя граница нормы 1,5 мг/л.
Читайте также






