О чем говорит потемнение зуба?

3 минуты на чтение
3
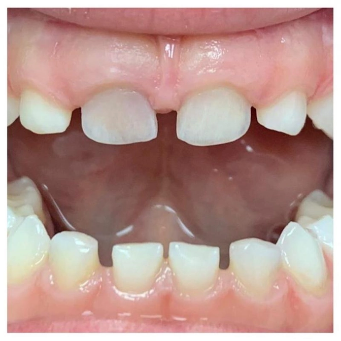
На фото наша пациентка, ей 5 лет.
В гостях у бабушки она случайно ударилась, была затронута уздечка верхней губы.
В результате был отек слизистой губы и десны, сделали снимок - трещин и переломов корня не замечено.
✔Девочке назначили Мирамистин, Солкосерил дентальный для заживления слизистой десны и ограничение употребления твердой пищи.
Через неделю на осмотре вот такой результат - зуб (тот, что на фото слева от центра) потемнел!
Такое часто бывает после травм.
Но отек слизистой прошел.
По рентгеновскому снимку видно, что началась физиологическая резорбция (рассасывание) верхушки корней центральный молочных зубов.
Этот случай мы оставили под наблюдение.
Но в результате травмы смена зубов на постоянные может произойти несколько быстрее.
Пациентка нашей очаровательной Гули Биляловой.
Читайте также






