Налёт Пристли.

3 минуты на чтение
3
Ей всего 3 года, а сидела спокойно, улыбалась нашей Гуле Билялововой, смотрела мультики и ногами покачивала.
Поверьте на слово - девочка класс.
Скоро, наверное, изобрету способ узнавать характер по зубам.
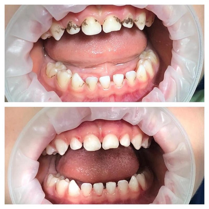
Несмотря на возраст, у ребенка уже появился налет Пристли.
Он может возникнуть даже у малышей.
Например, зубы только прорезались и тут же почернели.
Налёт Пристли может иметь разную локализацию:
- только у десны тонкая полосочка;
- хаотичные точки на зубах;
- или они покрыты все целиком.
Здесь неважно, как тщательно вы чистите зубы или часто едите сладкое.
В полости рта живут особые пигментообразующие бактерии.
Они выделяют пигмент, окрашивающий налёт в характерный чёрный цвет.
Точная причина их размножения неизвестна, но есть мнение, что это зависит от нарушения функции ЖКТ.
Поэтому кроме стоматолога настоятельно рекомендую посетить гастроэнтеролога.
Не раз слышала от пациентов версию о грибковом происхождении Пристли.
Якобы существуют специальные противогрибковые зубные пасты, способные все очистить.
Разочарую, это байка или чей-то маркетинговый ход.
Здесь поможет только профессиональная чистка, которую провела наша Гуля.
Но не забудьте выявить причины его появления, а то налет может появиться вновь.
Вроде всё.
Читайте также






