Налёт Пристли у малыша

3 минуты на чтение
2
Она — суперпрофи в общении с детьми любого возраста.
Все расскажет, покажет, мультик включит, после процедуры разрешит выбрать подарок из сундучка и выдаст медаль за смелость.
А эта ее работа выше всяких похвал!
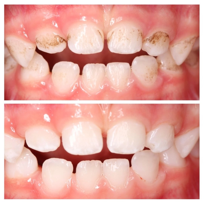
Ведь маленькой пациентке всего 2 года.
На зубках появился черный несчищающийся налет — это коварный Пристли.
Перед доктором Новиковой стояла непростая задача — договориться с малышкой и провести профессиональную гигиену.
Процедура сама по себе недолгая, у детей занимает минут 20.
Но!
Большую часть приема мы тратим на уговоры и мягкую адаптацию.
Чтобы пациенты были спокойны и расслаблены.
Чтобы доверяли врачу и позволяли провести нужные манипуляции.
Всё это нужно❗
Ребенку в следующий раз будет гораздо проще прийти к стоматологу и довериться.
А доктор Новикова уже стала другом не одному десятку маленьких пациентов.
С этой малышкой получилось договориться полюбовно.
Обошлись БЕЗ НАРКОЗА И СЕДАЦИИ!
Девочка была абсолютно в сознании и дала почистить зубки.
Теперь они чистенькие-беленькие.
Но, увы, черный неприятный налет Пристли, как правило, появляется вновь.
Поэтому периодически процедуру необходимо повторять.
Читайте также






