Налет Пристли - что делать?

3 минуты на чтение
3
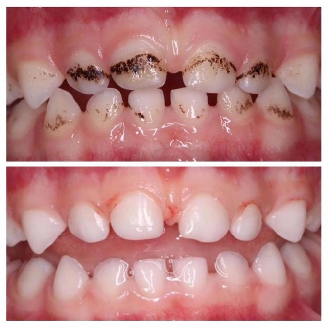
Что такое черное на зубах?
Неужели снова кто-то серебрил зубы?
А вот и не угадали!
Это налет Пристли.
Маленькому пациенту Ольги Новиковой всего 3 года.
Кстати, такая проблема возникает преимущественно у маленьких детей, и с возрастом вероятность возникновения налета Пристли снижается.
Налёт Пристли - это разновидность налёта, имеющая особо интенсивный цвет (чаще тёмный, но может быть и зеленоватый, и оранжево-красноватый).
Причина его появления - повышенная активность хроматогенных бактерий, окрашивающих налёт в очень интенсивный цвет.
Почему он образуется до конца не известно.
Есть гипотеза, что это связано с нарушением работы желудочно-кишечного тракта.
Но совершенно точно на образование налёта Пристли не влияет тщательность чистки зубов, питание и генетика.
Еще одной причиной возникновения сильно окрашенного налёта может стать приём некоторых медикаментов, особенно препаратов железа.
Что же делать, если появился налет Пристли?
Ответ логичен - его нужно снять, он вреден для десен, под ним может скрываться кариес, да и вообще это очень не эстетично выглядит, согласны?
Увы, в домашних условиях снять такой налёт очень сложно - он очень устойчив.
Поэтому, советую провести профессиональную гигиену полости рта в кабинете стоматолога при помощи специальной пасты, резиночки и щёточки.
Коварный Пристли может появиться снова даже после профессиональной чистки, у кого-то рецидив через месяц, у других через полгода, а кто-то забывает о нем навсегда.
Предсказать это трудно.
Нужно следить и уделять повышенное внимание гигиене полости рта.
Читайте также






