Налет Пристли бывает только у маленьких детей?

3 минуты на чтение
2
Он может появляться и на постоянных, и даже у взрослых.
Сам по себе налет Пристли не опасен, но под ним может скрываться кариес.
Поэтому, черноту надо периодически счищать у стоматолога, т.к. дома у вас это сделать не получится — налет слишком устойчив.
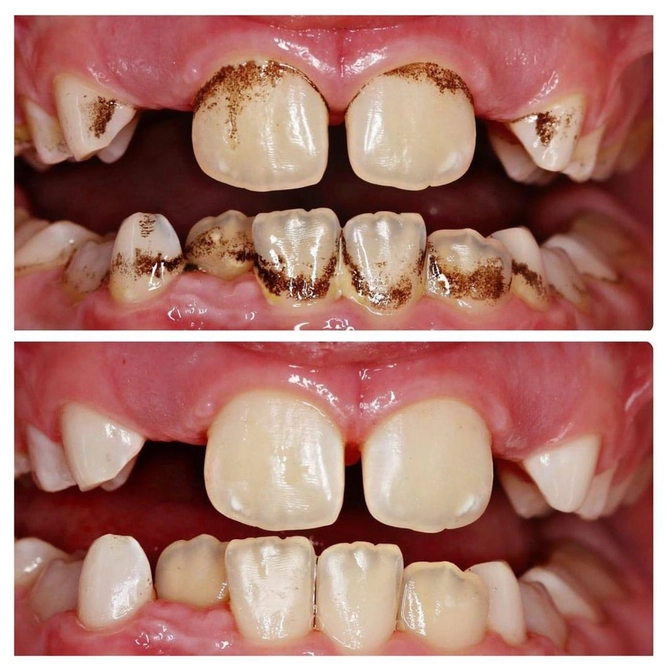
Пациенту 9 лет.
✔️Доктор Светлана Кожемякина очистила зубки от налета специальным порошком на основе глицина — он очень мелкий и не противопоказан детям;
✔️Затем убрала все зубные отложения;
✔️И заполировала зубки до блеска.
Налет Пристли появляется в результате активного развития и жизнедеятельности пигментообразующих бактерий.
Чаще всего это связано с нарушениями в ЖКТ.
Поэтому рекомендую посетить педиатра и гастроэнтеролога.
Напоминаю, с 1 по 10 мая #ЦентрСелютиной работает в общем режиме. Без выходных. Взрослые и детские специалисты ведут прием каждый день. Для того, чтобы записаться, звоните или пишите администратору в ватсап по телефону: +7-926-538-48-84.
Читайте также






