Лечение зубов малышей и психологическая травма...

3 минуты на чтение
3
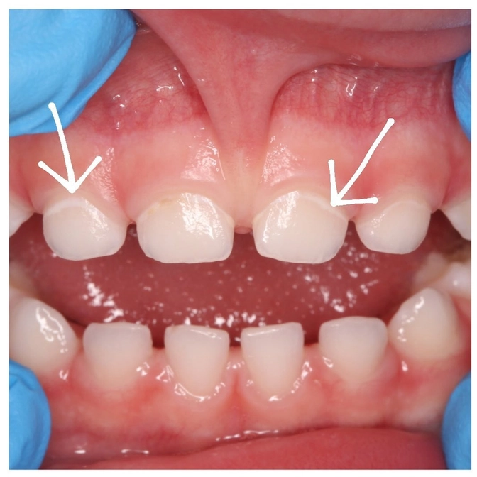
Родители пришли в #ЦентрСелютиной с двухлетним малышом к детскому стоматологу Алёне Долгалёвой.
Белые полосочки на зубках это уже не налет, а кариес в стадии пятна.
А также на одном зубе нарушена целостность эмали — это начальный кариес.
Малыш неконтактный, срочного лечения не требуется.
В таких случаях сразу реставрации мы не делаем, а пытаемся стабилизировать кариес.
Для этого нужна строгая дисциплина родителей и маниакальный уход за зубками:
✔️тщательная домашняя гигиена,
✔️аппликации реминерализирующими средствами,
✔️контроль питания (исключаются частые и сладкие перекусы, приемы пищи после вечерней чистки зубов и ночью),
✔️регулярные курсы глубокого фторирования — раз в 3 месяца.
Последний пункт как раз и был предложен доктором Долгалёвой.
Глубокое фторирование позволяет "законсервировать" кариозную полость, предотвратить разрушение зуба и в перспективе избежать лечения в наркозе.
Хотя я и не против него, но сейчас к нему нет объективных показаний.
Родители решили обратиться в другую клинику.
Там им сказали, внимание❗ что ничего делать не нужно!
Аргументировали это так: если делать что-то против воли ребенка, когда он кричит и сопротивляется, то это отразится на мозге и результаты (психотравмы) даже можно увидеть на МРТ.
Нет слов.
Да, нужно пару минут подержать малыша, чтобы счистить налет и помазать ему зубки.
Но по мнению наших коллег из той клиники из-за этого пациент станет чуть ли не психическим инвалидом.
Нет слов опять.
Бездействие приведет к множественному кариесу, а дальше к пульпиту и периодонтиту — а это уже показания для наркоза.
Для этого нужно будет делать анализ крови и ЭКГ, что тоже стресс для ребенка, как вы понимаете.
И что в таком случае делать?
Вообще не лечить, пусть портятся и выпадают, лишь бы у детей не было психотравмы?
Дорогие родители, задумайтесь.
Стоматологи — не садисты, мы не заинтересованы травмировать психику ваших детей.
Мы лишь предлагаем самые оптимальные варианты лечения исходя из возраста и клинической ситуации.
Читайте также






