Когда можно без наркоза?

3 минуты на чтение
3
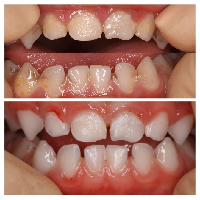
Девочка кричит и абсолютно не дает заглянуть к себе в ротик.
Нашей маленькой пациентке 2 годика.
На зубах обильный микробный зубной налет.
Это гарантирует, что в перспективе появится кариес.
Ей обязательно требуется провести профессиональную гигиену и почистить все зубки, иначе они неминуемо будут разрушаться!
Но что делать, если девочка совсем не идет на контакт с врачом?
Чистка занимает по времени 2 минуты - держать или наркоз?
По-моему второй вариант абсолютно нецелесообразен.
Родителям все объяснили и им пришлось попридержать дочку во время процедуры.
Ничего криминального и страшного не случилось, я считаю.
Зато после снятия налета мы обнаружили:
✔Белые пятна - это кариес в стадии пятна.
Если не принять меры, то он продолжит разрушать зубы и появятся полости, которые нужно будет пломбировать.
✔Десна воспалена от обилия мягкого зубного налет.
Это гингивит, и из-за него имеется небольшая кровоточивость.
Назначена обработка антисептиком для снятия воспаления.
Читайте также






