Когда молочный зуб прорезался, а постоянный еще не выпал...

3 минуты на чтение
3
Постоянные зубки уже вовсю растут, причем ровными их пока не назовёшь..
А вот молочный не хочет покидать насиженное место.
Встречали такое?
Лично мы - сплошь и рядом.
И чаще всего удается убедить ребенка без сожаления и страха с зубиком расстаться, отдать зубной фее и получить что-нибудь взамен.
Либо приходится хитрить и не описывать подробно предстоящую процедуру
Дети же разные бывают.
Некоторые из разряда «меньше знают, крепче спят»
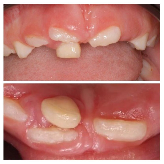
Посмотрите на фото.
На верхнем снимке вид спереди.
На нижнем со стороны неба.
Девочке 6 лет.
Работала с пациенткой Мария Штельмах.
Удаляли с анестезией, но не с основательной
Укол делать не стали.
Обошлось аппликацией анестетиком (помазали специальным гелем).
Если видите, что молочный зуб не уступает свое место, и постоянные уже прорезались, то посетите стоматолога.
Он поможет удалить молочный и подскажет дальнейшие действия.
Промедление с удалением может спровоцировать неправильное положение зуба/зубов в зубном ряду
Так что дерзайте..
Читайте также






