Клинический случай: необычная локализация кариеса

3 минуты на чтение
3
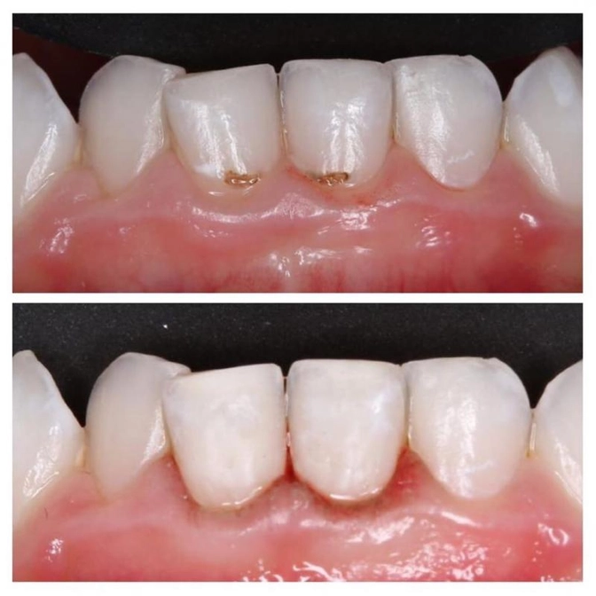
Кариес "проел" две полости на нижних резцах в пришеечной области и они уже стали уходить под десну.
Это означает, что домашняя гигиена недостаточно тщательная.
Зубки плохо очищались от налета, и под ним образовались кариозные полости.
К слову, ситуация необычная, т.к. локализация кариеса не характерная для этого места на этой группе зубов.
Пациенту 4 года.
В этом возрасте родители в обязательном порядке должны следить и дочищать зубы за ребенком.
При тщательном осмотре специальным инструментом - зондом - мы выявили небольшие кариозные полости, заполненные размягченным содержимым - дентином.
Это уже кариес, который нужно убирать и лечить.
✔Кариес - это инфекционное заболевание, вызываемое бактериями - стрептококками.
Оставлять его без лечения опасно!
В этом случае этапы лечения были следующие:
✔Убрали кариес;
✔Восстановили зубы пломбировочным материалом;
✔Удалось обойтись без анестезии, т.к. кариозные полости неглубокие;
✔Рекомендована тщательная гигиена и использование зубной нити, т.к. между зубками очень плотный контакт.
Все манипуляции мастерски провела Ольга Новикова.
Читайте также






