Керамическая вкладка - что это?

3 минуты на чтение
3
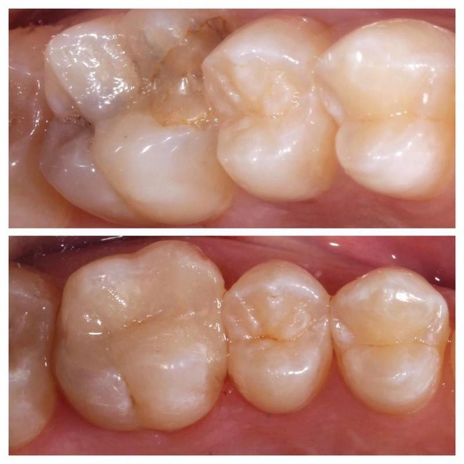
Зубная красота.
Думаете, пломбу поставили?
А вот и нет..
Прошу любить и жаловать - керамическая вкладка.
Только сегодня зафиксировали пациентке в полости рта.
Все счастливы.
Шикарно сработал Игорь Красноперов.
Керамическая вкладка - это отличная альтернатива пломбе больших размеров.
Такие пломбы могут скалываться, давать усадку и деформировать зубной ряд.
При обработке зуба «под вкладку» зуб остаётся живым.
Депульпировать и пломбировать каналы НЕ НАДО.
Вкладка изготавливается из материала E.max, мы уже рассказывали о нем в посте про виниры.
Керамическая вкладка изготавливается в технической лаборатории.
1. Зуб «очищается» от кариеса;
2. С зубов пациента снимаются слепки;
3. Отливаются модели;
4. Моделируется вкладка;
5. Фиксируется в полости рта.
Преимущества керамической вкладки:
• Прочная - срок службы 10-15 лет;
• Восстанавливает зуб без удаления нерва;
• Не дает усадки и, следовательно, не деформирует зубной ряд;
• Идеально подходит по прикусу и восстанавливает форму зуба;
• Сохраняет твердые ткани, продлевает жизнь зуба;
• Эстетична, по прозрачности материал сравним с эмалью зуба.
Читайте также






