Какие проблемы мы можем выявить в сменном прикусе

3 минуты на чтение
3
Кому, как не нам, знать, что такое ежедневная забота о детях и безусловная любовь❤️
Мы с вами несем колоссальную ответственность за их будущее, за их благополучие и счастье.
Как врач, я хочу напомнить, что нет ничего важнее их здоровья!
Профилактика играет в этом огромную роль, поэтому я всегда делаю упор на профосмотры.
Они позволяют предупредить разрушение зубов, выявить проблему на ранней стадии и решить ее быстрее и эффективнее.
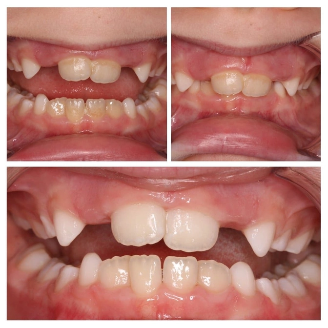
Сколько проблемных моментов насчитаете у этого маленького пациента?
На отсутствие боковых резцов не обращайте внимания — ребенку 7 лет, это плановая смена.
Тогда поехали, рассказываю.
Пациент мой, как уже сказала, ему 7 лет.
Пришел на гигиену.
А она явно страдает, зубки покрыты желтым налетом.
Едем дальше — всё внимание на смыкание челюстей.
Верхние зубы перекрывают нижние более чем на 1/3.
Диагноз: глубокий прикус.
Требуется консультация ортодонта в обязательном порядке, т.к. сейчас идет период смены зубов и активного роста челюстей.
В этом случае ортодонтическое лечение быстро дает положительный результат.
Но и это еще не всё!
Хотя я слукавила, признаюсь.
На фото не обозначена еще одна проблема — у ребенка короткая уздечка языка.
Планируем пластику.
Ну а зубки, естественно, почистили от налета.
✔️ Зашлифовали, отполировали и помазали фторлаком.
Читайте также






