Как часто проводить гигиену полости рта?

3 минуты на чтение
3
Бьюсь об заклад - у абсолютного большинства людей на зубах можно «откопать» пару «драгоценных» или не особо камушков .
Так что wellcom к гигиенисту каждые полгода.
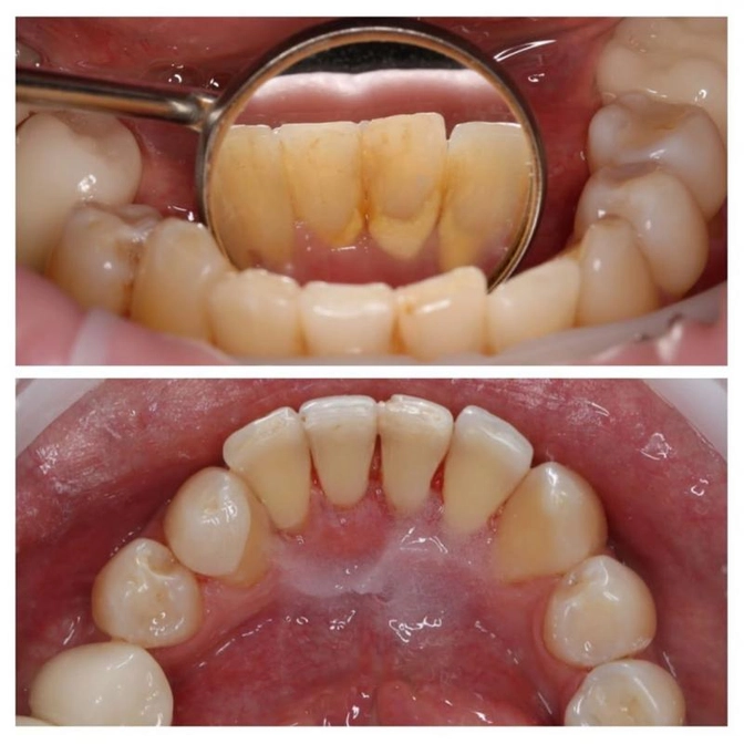
Классная работа гигиениста нашей команды Ёлкиной Ирины.
Не каждый человек соблюдает все требования полноценной домашней гигиены.
Если нарушать схему, время и периодичность чистки зубов, то налет неизбежно появится.
Особенно в тех местах, куда щетка «заходит» редко — стыки смежных зубов, внутренняя поверхность или отдаленные участки шестых, седьмых и восьмых зубов.
Со временем мягкий налет минерализируется и превращается в зубной камень.
Его снимают только у врача!
Поэтому, я советую посещать гигиениста каждые полгода.
Потому что это поможет диагностировать некоторые заболевания на раннем этапе, сэкономит вам время и деньги на лечение запущенных кариозных процессов и других осложнений от несчищенного налета.
Прием у гигиениста включает в себя:
• удаление мягкого налета и зубного камня над десной;
• снятие зубных отложений под десной;
• шлифовка и полировка поверхности зуба;
• покрытие зубов специальным гелем для фторирования и снижения чувствительности;
• обучение правильной домашней гигиене.
Читайте также






