Глубокое фторирование зубов.

3 минуты на чтение
3
Самый агрессивный и быстросъедающий зубы ребенка!
Мальчику 3 года.
В первый раз он пришел к нам в 1 год.
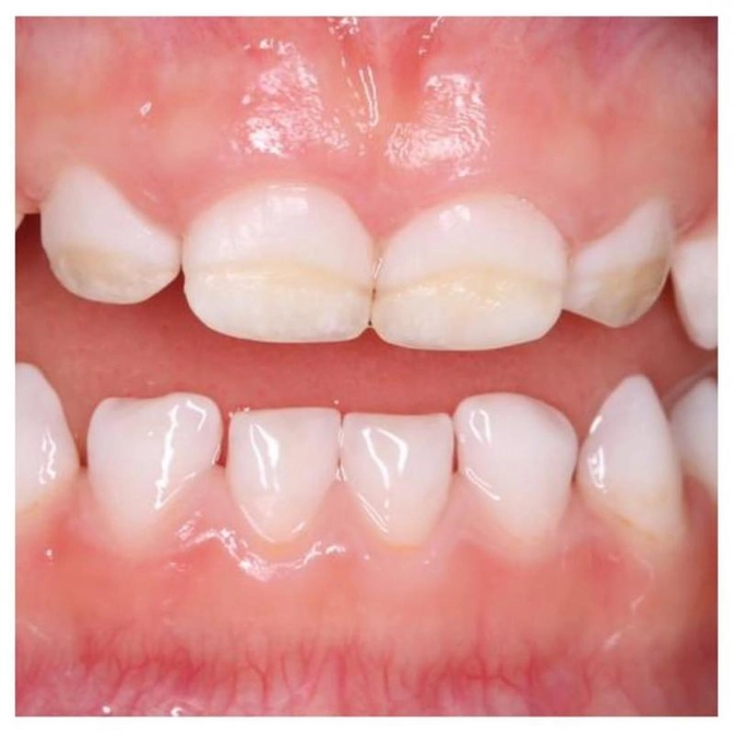
Классический пример кариеса раннего детского возраста на 4х передних зубках.
До этого они с мамой обошли множество клиник в Москве и все специалисты твердили, что ничего не поможет, нужно пломбировать и только в условиях глубокой седации, т.к. ребенок ну совсем малыш.
К сожалению, таких случаев много, когда врачи не берутся за маленьких пациентов и не пытаются найти альтернативу или иной подход.
У этого мальчика зубки прорезались нормальными, а потом появились пятна, несчищаемый налет и все стало разрушаться.
Но вот уже третий год как мы встречаемся с ним, и результат, как говорится, налицо!
✔В кабинете - каждые три месяца делаем глубокое фторирование;
✔Дома - маниакальный уход и качественная гигиена.
Сейчас кариес настолько стабилизировался, что когда зондируешь его специальным инструментом, там все ткани твердые, как камень.
Кариес не прогрессирует и речи о спасении зуба пломбой никакой нет.
В силу возраста, когда они в первый раз пришли на прием, малыш сильно плакал.
Но родители трезво оценили последствия и решили лечить.
В кресле мальчик лежал на маме, были крики, но вместе с тем и похвала, и подарки после приема.
Но после лечения успокаивался, получал свой презент и говорил (точнее показывал жестами), что придет снова.
Сейчас уже абсолютно спокойно приходит с улыбкой, разговаривает, дает провести все процедуры, потому что элементарно подрос и зубы мы ему сохранили.
В вопросе эстетики родители пока не определились - пломбу можно поставить, просто чтобы скорректировать внешний вид зубов.
А можно и не ставить и "дотянуть" до момента смены.
Помните, что вы - родители, и только вам решать, какой способ лечения выбрать.
А врач всегда должен рассказать все варианты и последствия.
Читайте также






