Что делать с налетом на зубах после антибиотиков?

3 минуты на чтение
3
А что особенного в нем, как думаете?
Этот налет специфический, пигментированный.
Появился он из-за приема антибиотиков.
Такое случается, это особенности некоторых лекарственных препаратов — они могут окрашивать зубной налет.
Пациент прошел курс антибиотикотерапии и после него пришел на прием в #ЦентрСелютиной.
Первым делом здесь показана профессиональная гигиена.
Проводила ее детский стоматолог Светлана Кожемякина.
Она легко и быстро справилась с налетом.
Зубки почищены вкусной пастой и отполированы.
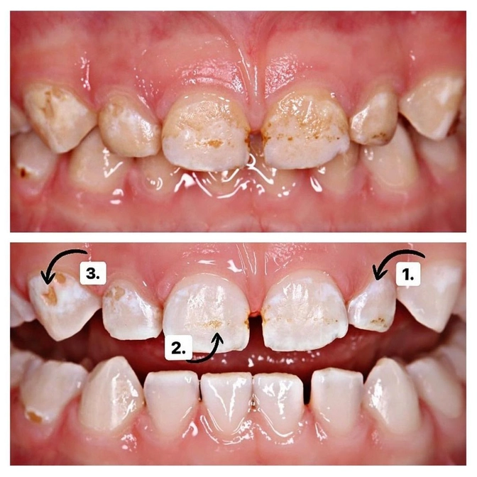
А вот что скрывалось под толщей зубных отложений, так это кариес всевозможных видов.
1. Боковой верхний резец — кариес в стадии мелового пятна.
Его можно попытаться "законсервировать".
2. Центральный верхний резец — поверхностный кариес.
Это уже лечим, потому что есть нарушение целостности эмали.
3. Верхний клык — средний кариес.
Однозначно лечим, иначе разрушение усугубится.
✔️Напоминаю, что при приеме антибиотиков важно соблюдать правила гигиены и питания.
Не делайте скидок на болезнь и не ложитесь спать, не почистив зубы.
Налет — отличная среда для размножения кариесогенных бактерий.
Вам же не нужен кариес?
Читайте также






