Что делать, если молочный зуб не торопится выпадать?

3 минуты на чтение
2
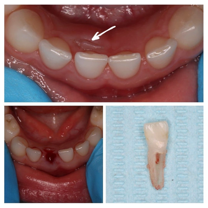
Такая ситуация носит название язычное прорезывание.
Случается это, когда постоянный зуб, прорезываясь, способствует неполному рассасыванию корня.
Какая-то часть корня молочного зуба, иногда совсем маленькая, остается и крепко держит зуб в челюсти.
❓Что же делать?
✔️Самостоятельно расшатывать и ждать, что молочный выпадет сам;
✔️Дать ребенку погрызть что-нибудь твердое (морковь, яблоко, грушу);
✔️Пойти к врачу и удалить мешающийся молочный зуб.
Я больше за третий вариант.
Врач сделает все комфортно для ребенка, помажет анестезирующим гелем и четким и быстрым движением удалит "зуб-долгожитель".
Этой пациентке 5 лет.
Её принимала детский стоматолог Мария Штельмах.
Нижний молочный резец был слобо подвижен, а постоянный уже прорезался вне зубного ряда.
Теперь проблема решена — молочный резец удален.
Постоянный через некоторое время должн занять свое место.
А если нет, то нужно будет обратиться к ортодонту.
Читайте также






