Чистка зубов и рекомендации

3 минуты на чтение
3
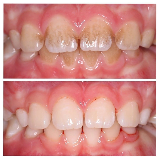
Внимание на фото.
Нет, ребенок зубы чистил, но налет этот специфический, вы же видите.
Ребенку 10 лет.
Во время самоизоляции у него сломался молочный зуб.
Ничего не беспокоило, боли не было, значит случай не экстренный.
Визит к стоматологу отложили.
✔Параллельно начали активно полоскать рот ополаскивателем.
Спустя неделю стал появляться вот такой налет.
Связь, надеюсь, все уловили.
Полоскание или чистка зубов средствами, содержащими:
• антисептики (триклозан, хлоргексидин);
• натуральные растительные компоненты (ромашку, кору дуба, календулу и др.);
Может вызвать появление специфического пигментированного налета, который трудно счищается в домашних условиях.
✔Я НЕ ПРОТИВ паст и ополаскивателей с натуральным составом, но ими нужно пользоваться не более 2х недель подряд.
! Средства с антисептиками НАЗНАЧАЮТСЯ ВРАЧОМ!
Об этом прошу не забывать.
✔Ну а ребенку мы провели профессиональную гигиену.
Зубки почистили и отполировали резиночками.
Блеск?
Читайте также






