Чем пломба отличается от реставрации?

3 минуты на чтение
3
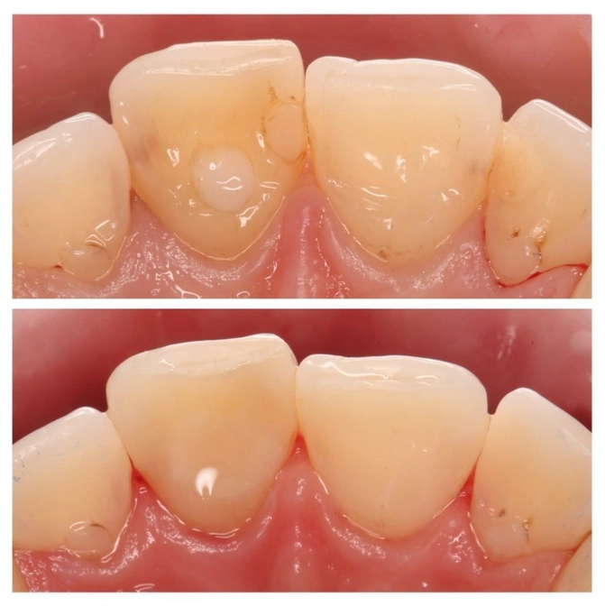
Даже с внутренней стороны зубы должны выглядеть идеально.
И конечно быть здоровыми!
Лечение требовалось нижним резцам.
Сразу на трех зубах с внутренней стороны стоят несостоятельные пломбы, которые отчетливо выделяются на фоне родных тканей.
Этапы работы:
✔️Доктор Олеся Ибрагимова убрала старые пломбы и пораженные ткани;
✔️обработала полости;
✔️сделала новые красивые реставрации.
Эстетика и функциональность зубов восстановлена.
Старые пломбы сильно выделялись, их четко видно на фото До.
А вот финальные реставрации абсолютно идентичны родным тканям и совсем не заметны.
Пломбирование — лечебная процедура, препятствующая дальнейшему разрушению зуба и повреждению тканей патогенными бактериями.
Реставрация же — это и лечебная процедура, и восстановление эстетического вида зуба.
Более сложный и длительный по исполнению процесс, который позволяет:
• восстановить анатомическую форму зуба, сохраняя эстетику;
• скорректировать форму зуба/зубов;
• изменить цвет зуба;
• скорректировать межзубные промежутки.
Читайте также






