Бывает ли у детей зубной камень?

3 минуты на чтение
3
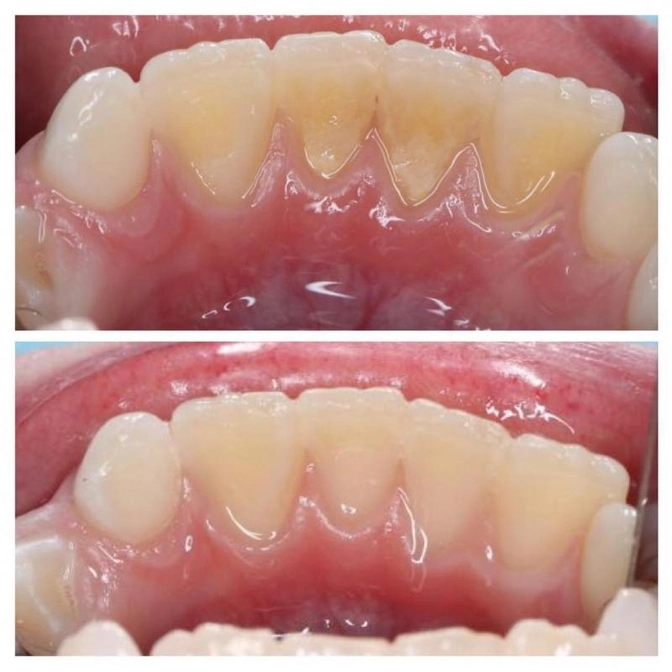
Наглядный пример: к чему может привести неудовлетворительная домашняя гигиена.
Ничего криминального... Пока.
Но за зубным камнем может скрываться кариес, поэтому уделяйте внимание всем сторонам зуба при чистке.
У детей тоже бывает зубной камень.
Фото яркое тому подтверждение.
Хозяину «Булыжников» (или «бриллиантов», кому как больше нравится) всего 8 лет.
С внутренней стороны зубов образовался зубной камень.
Часто дети халтурят и некачественно чистят зубы с внутренней стороны.
Родителям нужно следить за этим очень внимательно и вовремя объяснять детям, к чему это может привести.
Например, к кариесу, скрытому под толщей камня, или заболеваниям десен.
Понимаю, что у большинства сейчас «мир/труд/май», но я все равно о своём..
Напоминаю, если не счищать мягкий налет с зубов, со временем под воздействием минеральных солей слюны он затвердевает и "каменеет", наслоение все новых бактерий приводит к образованию зубного камня.
Удалять его потом только в условиях стоматологической клиники.
В нашем случае камень убирали ультразвуковым наконечником.
Или иначе его называют скалер.
Насадка скалера производит 100 млн ультразвуковых движений в минуту, и под воздействием этой вибрации удаляется твердый надет с зубов.
Для охлаждения поверхности зуба и скалера подается вода, а специальная подсветка помогает не пропустить ни одного участка.
Эта процедура быстрая и практически безболезненная, но советую не доводить до образования камня, а следить тщательнее за домашней гигиеной детских зубов.
Читайте также






