Амальгама. Минусы технологии.

3 минуты на чтение
3
Называются амальгамные и содержат в составе сплавы ртути.
Этот материал для пломбирования давно устарел, но все же, его еще можно встретить в ряде стран Европы и в США.
В полости рта амальгамные пломбы выглядят неэстетично, могут вызывать окрашивание тканей вокруг.
Плюс есть вероятность вторичного кариеса — в этом случае замена пломбы обязательна.
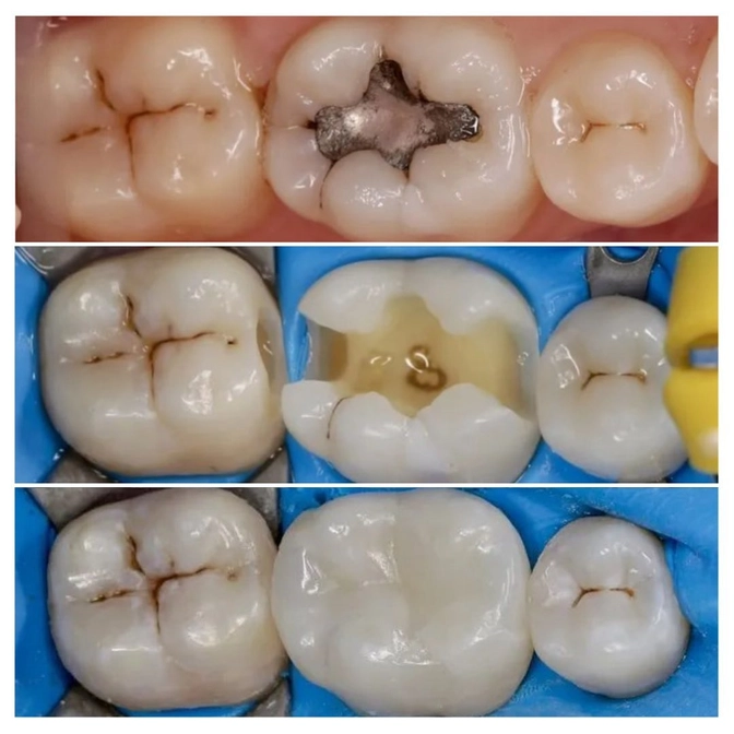
Работу проводила эндодонтист Галина Базылева.
✔️Старую пломбу на шестом зубе убрала;
✔️Полость обработала;
✔️Восстановила анатомическую форму зуба пломбировочным светоотверждаемым материалом;
✔️Зашлифовала и отполировала.
Зуб теперь не узнать!
Амальгамные пломбы используются в стоматологии уже более 100 лет.
➖Но этот материал имеет множество минусов: плохо прилипает к тканям зуба, долго застывает, не позволяет создать анатомическую форму, обладает высокой теплопроводностью, может вызывать гальванизм.
А самый спорный момент — это наличие ртути в составе (она выступает в качестве растворителя для металлов).
В Европе с 2018 года запрещено использовать амальгаму для постановки пломб у детей до 15 лет, беременных и кормящих женщин.
Читайте также






