Замена старых пломб

3 минуты на чтение
3
Ведь если зуб уже был пролечен от кариеса, то он может быть поражен им снова.
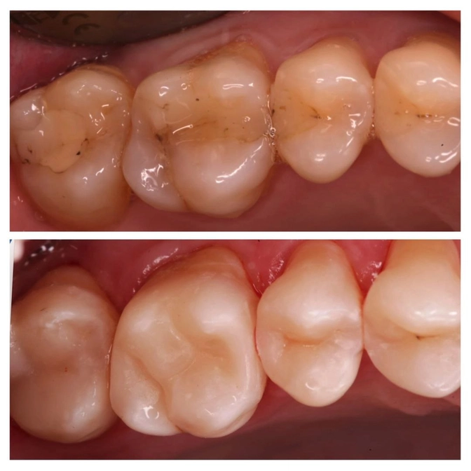
Вторичный кариес — это разрушительный процесс, который возникает в уже пролеченных зубах под пломбами.
От него никто не застрахован, т.к. на его появление влияет целый ряд факторов.
В нашем случае у пациентки стояли старые несостоятельные пломбы. Под ними как раз тот самый вторичный кариес.
✔️Старые пломбы убрали;
✔️Кариес вычистили;
✔️Полости обработали;
✔️Зубы восстановили.
В который раз убеждаюсь, что нашем центре работают настоящие профи!
Работа эндодонтиста Галины Базылевой.
Читайте также






