Зачем лечить бруксизм?

3 минуты на чтение
3
Особенно, если вовремя их не лечить, не восстанавливать и не проходить профосмотры.
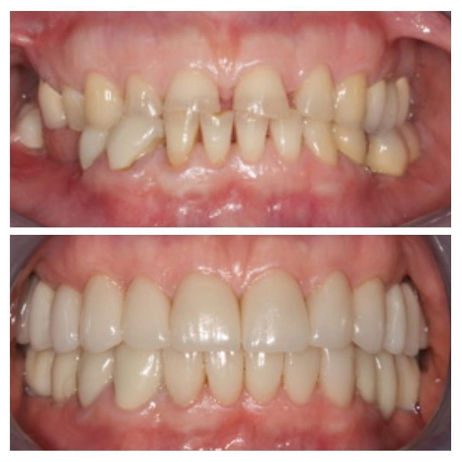
А теперь внимание на фото - пациентке 60 лет.
Зубы стерлись вследствие бруксизма и потери жевательных зубов.
Эти патологии привели к дисфункции височно-нижнечелюстного сустава.
Проще говоря, при открывании рта челюсть начала щелкать и доставлять болезненные ощущения.
Что было сделано?
• Восстановлена высота прикуса;
• Установлены виниры и коронки;
• Отсутствующие зубы заменены имплантами;
• Восстановлена жевательная функция и эстетика улыбки.
Напоминаю, что бруксизм приводит к стиранию твердых тканей зуба, расшатыванию и крошению зубов, изменению прикуса, проблемам с височно-нижнечелюстным суставом, спазмам и болям мышц лица, головным болям, шуму в ушах, проблемам с ЖКТ (т.к. ухудшается качество пережевывания пищи), ночному апноэ - кратковременная остановка дыхания ЭТО ОЧЕНЬ ОПАСНО!
Лечить бруксизм МОЖНО и НУЖНО!
Врач-гнатолог вам в помощь.
В #ЦентрСелютиной как раз есть такой специалист.
Эта блестящая работа нашего нового врача-стоматолога, ортопеда и гнатолога Фоменко Дениса Алексеевича.
✔За плечами у него годы учёбы, участие в симпозиумах, научных конференциях и семинарах, а также многократные курсы повышения квалификации по разным направлениям.
ОПЫТ РАБОТЫ - 20 ЛЕТ!
Горжусь, что такой профессионал теперь работает в моей команде!
Читайте также






