Всегда ли лечение малышей проходит под наркозом?

3 минуты на чтение
3
А вот и нет!
Случаи бывают разные, рассказываю.
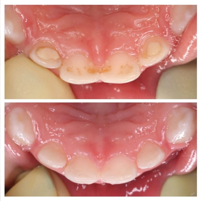
Мальчику 2 года.
Центральные зубы верхней челюсти изнутри (со стороны нёба) поражены кариесом. Также есть кариес на контакте центральных зубов.
В нескольких клиниках родителям предлагали только наркоз.
В одной попробовали отвлекать игрушкой и лечить, но спустя два дня две пломбы вылетело.
Наконец они обратились в #ЦентрСелютиной к детскому стоматологу Алёне Долгалёвой.
Она попробовала расположить к себе малыша и лечила ему зубки по одному за прием.
Использовала только аппликационную анестезию, т.к. полости были неглубокие.
Получилось отлично, хоть и заняло много времени!
Но это того стоит, если есть шанс обойтись без наркоза.
А мою позицию по этому вопросу вы уже знаете: если можно обойтись без сложных манипуляций, небольшой фронт работ и нет риска потери зубов, то мы стараемся и находим подход даже к таким малышам.
Теперь ждем его регулярно для профосмотров.
Рекомендую посещать детского стоматолога не реже 1 раза каждые три месяца, потому что у детей все процессы протекают стремительно.
Читайте также






