Восстановление центральных зубов под наркозом.

3 минуты на чтение
3
Малышу 2 года, и его зубки разрушились просто на глазах!
При этом домашняя гигиена регулярная, родители очень ответственно подходят к этому вопросу.
Это еще раз говорит о том, что кариес - многофакторное заболевание, и его причина не только в чистке и уходе за полостью рта.
Как все начиналось?
• На зубках появились светлые точки, и родители с ребенком обратились в стоматологию (не в наш Центр).
• Там врач предложил посеребрить.
• Сделали серебрение, зубы, естественно, почернели, а кариес продолжал прогрессировать.
• Плюс ко всему появились пятна уже на жевательных зубах, и за неделю с космической скоростью превратились в полости.
Даже так бывает!
Поэтому не стоит тянуть!
Дальше уже пациент перешел в заботливые руки нашего детского стоматолога Марии Штельмах.
И хоть пациент еще совсем маленький, сначала попробовали лечить без наркоза.
Под интересный мультик и отвлекающие маневры в спокойной обстановке удалось вылечить один жевательный зуб.
Но в следующий прием малыш наотрез отказался сотрудничать.
Ждать нельзя!
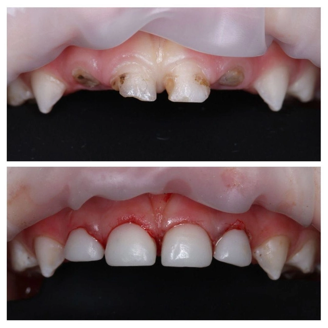
Боковые резцы сильно разрушены и стоял вопрос об их сохранении!
Поэтому, было принято общее решение лечить под наркозом.
✔Итого доктор Штельмах вылечила от пульпита 4 верхних резца и сделала красивые реставрации.
✔Плюс пролечила 4 кариеса на жевательных зубках.
Отличная работа и прекрасный результат, который радует теперь и малыша, и его родителей.
Читайте также






