Восстановление постоянного центрального зуба

3 минуты на чтение
3
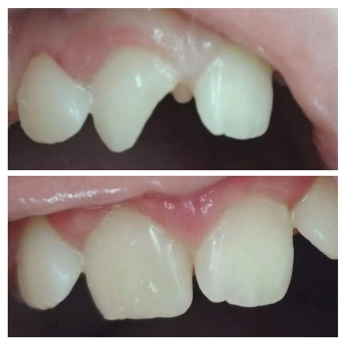
Перед вами наглядный пример травмы постоянного зуба.
Парню 13 лет.
Неудачно упал и сломал зуб.
Скол только на уровне твердых тканей без обнажения сосудисто-нервного пучка.
Боли после травмы не было, пришел с жалобой только на эстетику.
Какую работу провела доктор Мария Штельмах?
✔Сделала снимок - все ок, корни целые, пострадала только коронка.
✔Далее зуб препарирован под анестезией;
✔Полностью отреставрирован симметрично соседнему.
Резцы немного развернуты, поэтому дано направление к ортодонту для восстановления полной эстетики.
Фото сделано сразу после реставрации.
Эмаль во время работы пересушена, поэтому край пломбы виден.
На следующий день всё выглядит, как свое родное.
Читайте также






