Улучшение улыбки без ор один и че кого лечения: клинический случай.

3 минуты на чтение
3
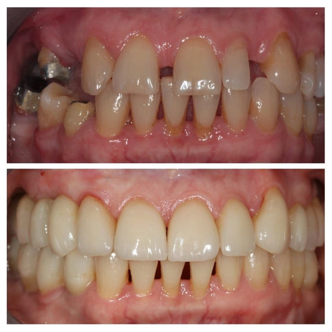
Пациентке 45 лет.
Ей хотелось привести зубы в порядок, но с одним условием — БЕЗ БРЕКЕТОВ.
Вот пунктик у неё такой был.
Сама работает преподавателем младших классов.
Много где была, много каких предложений услышала.
В результате пришли к определенному компромиссу.
Конкретно в этом случае его достичь удалось.
Реально обошлось без брекетов.
Но это вовсе не означает, что можно всегда и всем.
Большое количество наших взрослых пациентов для достижения результата (ЭСТЕТИКА + ФУНКЦИЯ) предварительно проходят лечение у ортодонта - носят брекеты.
Естественно, все этапы и результат с этой пациенткой обсудили заранее.
Что сделано?
✔️В области жевательных зубов установлены импланты;
✔️Неправильно стоящие и развернутые зубы скорректировали цельнокерамическими коронками и винирами;
✔️Нижние фронтальные зубы не трогали по желанию пациентки
Как и хотела пациентка, обошлось без ортодонтии.
Читайте также






