Удаление молочных зубов

3 минуты на чтение
3
Но для абсолютного большинства, уверена: «ну а как ещё понять о чем речь, если не на живом примере, не на пальцах же ш».
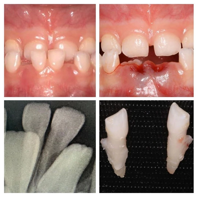
Зубки-долгожители никак не хотели уступать место новым "жильцам".
Нижние молочные резцы так крепко сидели и не хотели выпадать, что пришлось принудительно им помочь.
С этой задачей блестяще справилась нежный доктор Гуля Билялова.
Удалила 2 молочных зуба (нет, ЗУБИЩА) под местной анестезией (укол)
Девочке 6 лет.
Резцам пора меняться.
Но корни нижних были длинные, а постоянные зубки уже начали прорезываться за ними.
Должно быть понятно (ну хотя бы примерно) по снимку - он тоже на фото.
Показания к удалению ортодонтические, у девочки мезиальный прикус.
Это вид неправильного прикуса, при котором нижняя челюсть выдвинута вперед относительно верхней.
Видите на фото, как нижние резцы перекрывают верхние?
Это не норма!
✔Не забывайте про регулярные профосмотры у стоматолога.
Почаще заглядывайте в ротик ребенку.
Следите за сменой зубов, чтобы избежать возмодных проблем в дальнейшем.
Маленькой пациентке уже выдали направление к ортодонту.
Читайте также






