Удаление молочного зуба из-за свища

3 минуты на чтение
3
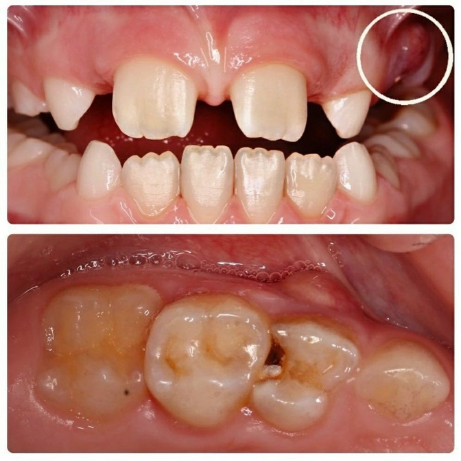
Один из них совершенно очевиден — свищ над четвертым зубом.
А насчет второго догадаться сложнее.
Девочке 6 лет.
На осмотре доктор Светлана Кожемякина увидела, что над молочной "четверкой" образовался свищевой ход.
Это показатель того, что внутри есть воспаление, которое уже вышло за пределы молочного зуба и теперь угрожает зачатку постоянного.
⚠️Свищ — это однозначное показание к удалению МОЛОЧНОГО зуба.
Чтобы удостовериться в правильности диагноза, делаем пациентке снимок.
Шестой зуб прорезывается криво.
Упирается прямо в соседнюю "пятерку", чем вызвал преждевременное рассасывание одного из ее корней.
✔️Это явление называется эктопическое прорезывание — "шестерка" прорезывается в направлении пятого зуба и, тем самым, вызывает рассасывание ее корней.
Плюс на контакте этих двух зубов образовалась кариозная полость на "пятерке".
К тому же, так сложилось, что с противоположной стороны ситуация точно такая же.
Если наблюдается патологическая резорбция корней молочного зуба, то это показание к его удалению.
Поэтому, четвертый зуб со свищом и пятый с рассосавшимся корнем удалены под местной анестезией.
Напоминаю, что важно следить за прорезыванием и сменой зубов у детей.
И, конечно, вовремя приходить на профилактические осмотры к стоматологу.
Читайте также






