Травма постоянного зуба.

3 минуты на чтение
3
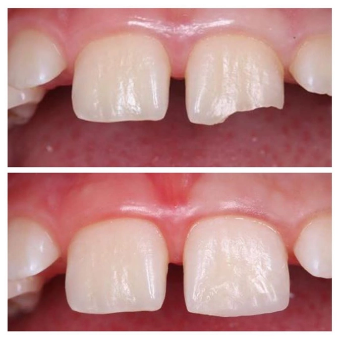
Девочка 7 лет каталась на лыжах.
Случайно палкой травмировала зуб - кусочек откололся.
Повезло, что скол был только на уровне твердых тканей без обнажения сосудисто-нервного пучка.
Боли после травмы не было, жаловалась только на эстетику.
Работу проводила детский стоматолог Гуля Билялова:
✔Сделала рентгеновский снимок - все ок, корни целые, пострадала только коронка.
✔Далее зуб препарирован под местной анестезией;
✔Полностью восстановлен симметрично соседнему.
Будьте осторожны при занятиях спортом, соблюдайте меры безопасности.
А если случилась травма, то бегом к стоматологу.
Иногда счет идет на минуты!
Берегите зубки!
Читайте также






