Тотальная реабилитация: сложный клинический случай с междисциплинарным подходом

3 минуты на чтение
3
Дорого!
Офигенно!
А ещё очень естественно, гармонично и функционально.
На недоумевающие комментарии по поводу цены, отвечу рифмой:
чем ПОЗЖЖЖЖЖЕ, тем ДОРОЖЖЖЖЕ
Вот и подумайте, откладывая решение зубного вопроса на потом из-за «дорого», при этом покупая в очередной раз новый айфон.
Просто БЛЕСТЯЩАЯ работа
Я ЩИТАЮ!
Автор-исполнитель - Денис Фоменко.
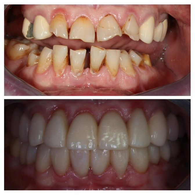
О пациенте:
60 лет.
Решился.
Зубов долго не было.
А помните, что бывает при длительном отсутствии зубов?
Верно!
Зубы смещаются в сторону удаленных, зубной ряд разъезжается, и образуются промежутки — тремы, диастемы.
Конкретно здесь из-за отсутствующих и разрушенных зубов нижняя челюсть сильно выдвинулась вперед.
Такое положение челюстей создает повышенную нагрузку на зубочелюстной аппарат и приводит к дисфункции височно-нижнечелюстного сустава.
В других клиниках протезировать при таком прикусе отказывались!
Но доктор Фоменко не боится сложных случаев — всё решает грамотная диагностика проблемы.
Поэтому, я всегда говорю, не бойтесь сходить и узнать мнение нескольких врачей.
Выбирайте клиники, оснащенные современным оборудованием и материалами.
Обращайтесь к профессионалам, у которых уже есть успешные кейсы, которые не будут увиливать и скрывать от вас все возможные методы лечения в вашем случае.
20 лет в профессии это вам не шутки.
Денис Алексеевич сделал расчёты по телерентгенографии (ТРГ) и провел функциональный анализ.
✔️Выявили причину — слишком занижен прикус.
С помощью рационального временного протезирования высоту прикуса повысили на 10 мм, что привело к более благоприятному положению челюсти для установки постоянных ортопедических конструкций.
• На место отсутствующих зубов установили импланты;
• Установили коронки с опорой на импланты и родные зубы, восстановив разрушенные единицы;
• Тремы между зубами закрыли винирами, а также добились эстетики в зоне улыбки.
Фото после сделано сразу после фиксации всех конструкций
Работа с пациентом заняла 1 год.
Участвовали терапевт, хирург и ортопед.
И конечно, их копилка успешных кейсов пополнилась еще одним.
Читайте также






