Тотальная реабилитация с установкой имплантов.

3 минуты на чтение
3
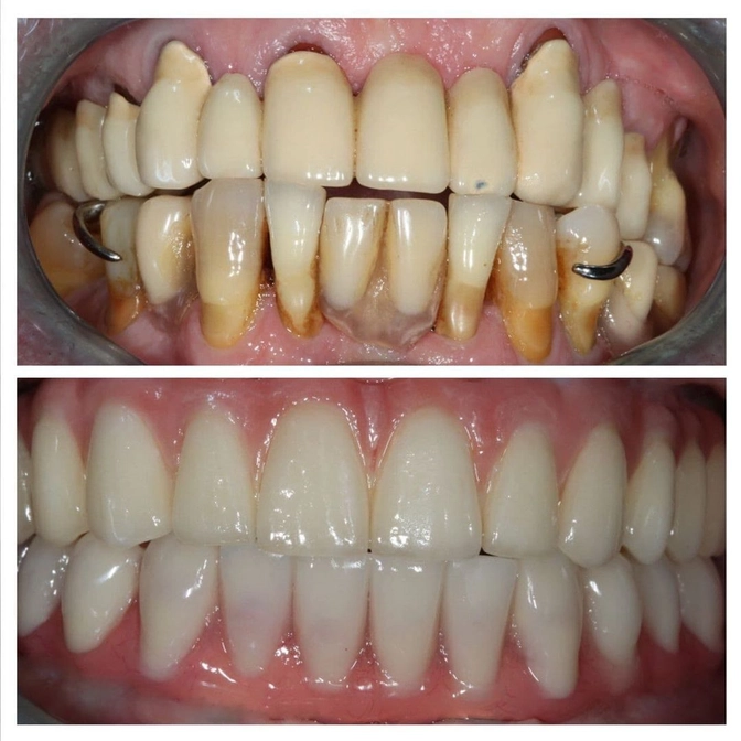
Пациент взрослый.
Обратился за помощью к доктору Денису Фоменко с жалобами:
• на отсутствие зубов — 8 на верхней челюсти и 6 на нижней;
• оголение корней зубов из-за пародонтита тяжелой степени;
• плохо фиксирующийся съемный протез на нижней челюсти.
Десны были воспалены из-за пародонтита, было гноетечение и запах изо рта.
Надо ли говорить, что воспалительный процесс не возник за один день, а нарастал со временем?
Впрочем, оценок мы не даем - мы решаем проблему и даем рекомендации.
Здесь однозначно уже давно требовалось лечение и регулярный комплексный уход за полостью рта.
Не зря же я постоянно говорю вам о профилактике и профосмотрах.
Не пренебрегайте ими!
Увы, в этом случае из-за пародонтита спасать нам было уже нечего.
✔Одномоментно удалили зубы на верхней челюсти и установили 6 имплантов.
✔Сразу же установили временный несъемный протез с опорой на импланты.
✔Через 3 месяца проделали все то же самое на нижней челюсти.
✔На верхней челюсти установили циркониевую дугу с облицовкой из керамики e.max,
✔На нижней — титановая дуга, облицованная композитом и с композитными зубами.
Это сделано для смягчения конструкции, чтобы она спокойно могла деформироваться при функционировании челюстей и бруксизме.
Работа проделана сложная и кропотливая.
И да, не всегда удается спасти зубы, но в любом случае наши врачи предлагают самый лучший и оптимальный вариант лечения.
В любом возрасте МОЖНО и НУЖНО следить за здоровьем зубов и эстетикой улыбки.
Приходите на профосмотры не реже 1 раза в полгода, даже если ничего не беспокоит.
А вот если проблему не решать, то она может привести к печальным последствиям.
Читайте также






