Тотальная реабилитация пациента длиною в 3 года

3 минуты на чтение
2
Конкретно в этом случае понадобилось 3 года.
Почему же так долго?
Рассказываю.
Пациент взрослый.
Обратился с жалобами на правый височно-нижнечелюстной сустав (ВНЧС).
Открывать рот было больно, челюсть хрустела и щелкала, жевать пищу сложно, да и зубы постепенно стирались.
Требовалось комплексное лечение у нескольких специалистов.
Сначала проведено лечение у ортопеда-гнатолога на суставном сплинте.
Это специальный назубный аппарат, который "приучает" челюсть к новому, ПРАВИЛЬНОМУ положению.
Как только мы вернули нижнюю челюсть в исходное (природное) положение, пациент перешел в руки нашего ортодонта Оксаны Ильиченко (Журавской).
❓Что сделано?
✔️Установлена брекет-система —ортодонтическое лечение проводилось с использованием MEAW (многопетлевых дуг).
Они изготавливаются индивидуально для каждого пациента и позволяют перемещать зубы более эффективно.
✔️Также использовались накладки для разобщения прикуса и ортодонтические эластики.
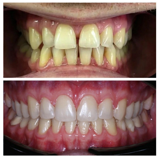
Общий срок лечения занял 3 года.
Пациент относился очень ответственно, но на длительность лечения повлияла изначальная ситуация с суставом.
После снятия брекетов передняя группа зубов восстановлена временными композитными реставрациями — нарастили недостающую ширину.
Показана замена старых металлокерамических коронок и замена пломб.
Для этого пациента направили к ортопеду.
А пока радуемся полученному результа.
Помните, что щелканье и хруст в челюстном суставе — это тревожный симптом.
Необходимо снизить нагрузку на него и как можно скорее записаться к врачу.
Потому что если проблему не решать, то она приведет к:
• частичному или полному ограничению открывания рта;
• нарушению слуха;
• невралгии тройничного или лицевого нервов;
• необратимому повреждению суставной головки или диска.
Читайте также






