Тотальная реабилитация и избавление от мигреней

3 минуты на чтение
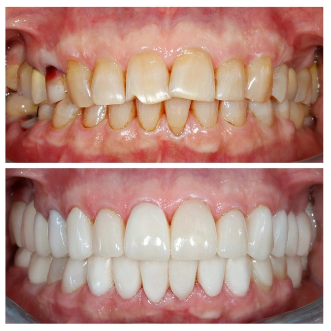
3
Это влияет на суставы челюсти, качество пережевывания пищи, эстетику улыбки и всего овала лица.
Пациентке на фото 63 года.
У нее были жалобы на мигрени по утрам — это еще один симптом проблем с височно-нижнечелюстным суставом (ВНЧС).
Но обратилась она к доктору Денису Фоменко не за этим.
У нее треснул шестой зуб, требовалось удаление и замена имплантом.
Но только эта мера не решила бы проблему с головными болями????????♀️
Доктор Фоменко предложил тотальное протезирование, чтобы поднять высоту прикуса.
✅Итого было сделано 28 реставраций — коронки и виниры. Смотрите фото.
Как результат, у пациентки теперь здоровая и эстетичная улыбка.
А самое главное — мигрени ушли!
Считается, что около 90% мигреней начинаются из-за неправильного прикуса.
Какие стоматологические заболевания провоцируют головную боль?
• Гипертонус жевательных мышц;
• Неправильное положении нижней челюсти;
• Недостаток кислорода при наличии ночного апноэ;
• Хроническое напряжение жевательных, височных мышц и мышц, идущих к суставной головке и диску нижнечелюстного сустава.
Поэтому, если у вас появилась боль, ограничение открывания рта, головокружение, затруднение при глотании, звон в ушах и т.д., то посетите врача стоматолога-гнатолога.
На первичной консультации (а она занимает около часа и даже больше) специалист выявит возможные патологии и порекомендует оптимальное лечение.
Читайте также






