Сложный случай: как мы лечили зубы у 5-летнего малыша.

3 минуты на чтение
3
Нет, у нас получилось, ведь речь о КОМАНДНОЙ РАБОТЕ.
Спасибо всем моим ассистентам, администраторам и самому крутому на свете 5-летнему Лёше, который СПРАВИЛСЯ со своим страхом и уже полечил все свои зубы (а было много чего лечить), потому что он САААМЫЙ СМЕЛЫЙ!
Мальчику 5 лет.
И он из разряда "сложный случай".
Несколько клиник, в которые он и его мама обращались, давали направление только на лечение в условиях наркоза.
Никто не мог найти подход к ребёнку.
Да и когда он пришёл к нам, мама была искренне удивлена, что ее сын, о Боги, сам сел в кресло и дал сфотографировать зубы.
Хотя минутой ранее со слезами и криками «пойдём домой» заходил в зону ожидания .
Далее были адаптации и «танцы с бубнами» в исполнении всех, кто был рядом в дни приема.
Мама в шоке, потому что конкретно в этом случае в других клиниках ему делали анестезию, и он напрочь переставал сотрудничать - кричал, хватал за руки, не давал ничего делать.
И так было раза три точно.
Нам тоже было сложно, и эмоционально в том числе.
Но даже с таким непростым случаем получилось справиться.
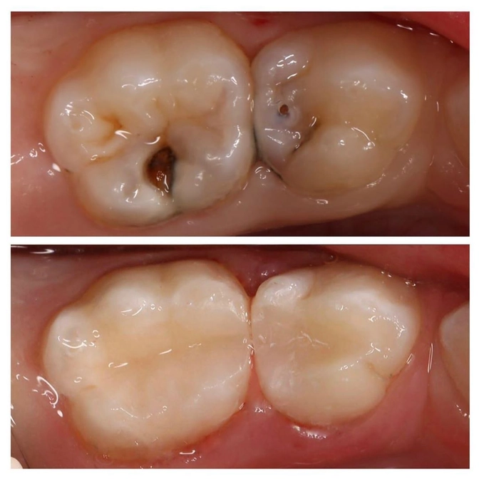
Зубки молочные - "четверка" и "пятерка" с пульпитами.
До смены еще далеко.
Разрушение - очень сильное, но ребенок на боль не жаловался.
А вот мама переживала, что начнет болеть, и тогда все будет проходить еще хуже.
Сделали анестезию, убрали кариес, удалили нерв, зубы восстановили.
В #ЦентрСелютиной общими усилиями, тяжело и с потерями не одной нервной клетки как с одной так и с другой стороны мы справились
Результат:
полость рта санирована.
А на завершающий приём Лёша пришёл с букетом цветов для доктора и улыбкой, а затем полечил СРАЗУ три! зуба.
Это ли не счастье: как для родителей, так и для моей команды.
Читайте также






