Скрытый кариес ...

3 минуты на чтение
3
Я это ещё называю «светится» между зубами.
Одна из фишек фотопротокола - увидеть то, что может быть не видно глазу, плюс вам - пациенту - показать.
Дескать вот, вроде все норм, но нет.
Надо дообследовать (снимок, КТ) и точно лечить.
Причём срочно.
Причём даже если зуб вас совсем никак не беспокоит.
Ведь это не значит, что с ним всё в порядке.
Именно поэтому я так часто вам напоминаю о регулярных профилактических осмотрах.
Иногда на них можно обнаружить начальную или уже не начальную стадию заболевания.
Пациент стоматолога терапевта нашей команды Галины Базылевой.
Да, пациент взрослый
Да, мы взрослых тоже лечим
Причём самыми лучшими РУКАМИ (это важно!)
Ну и материалы с оборудованием тоже не отстают
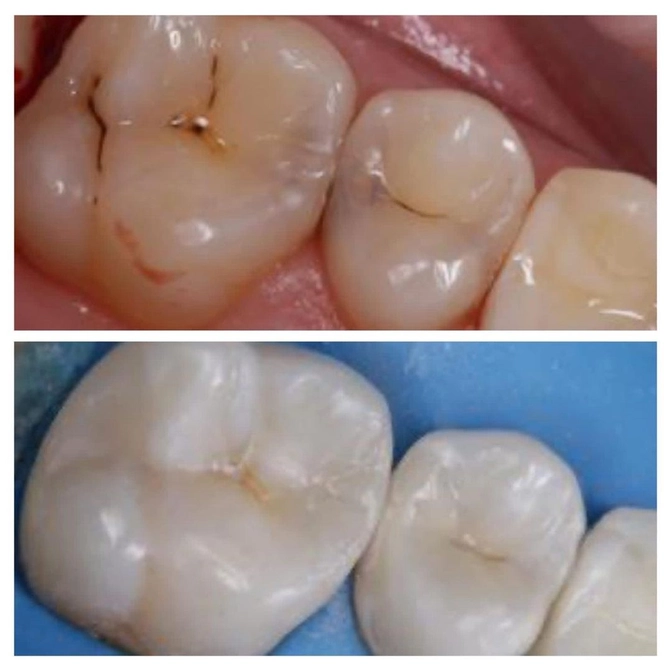
На фото крупно зубы "до" и "после".
Видите, как глубоко проникает кариес, даже если на поверхности маленькие черные полосочки или просто серость?
✅Доктор Базылева пролечила "шестерку" — это уже был глубокий кариес, еще чуть-чуть и инфекция проникла бы в пульпу зуба.
✅Контактные поверхности пятого и шестого зуба также пролечены от кариеса.
✅Функциональность и эстетика обоих зубов восстановлена.
Ещё чуть-чуть и был бы пульпит
А разница в цене лечения внушительная
Так что лучше с походом к доктору не затягивать!
Читайте также






