Скол постоянного зуба у ребёнка: всегда ли необходимо восстановление?

3 минуты на чтение
3
Ее нежных рук дело
И опять она.. травма
Причём зуб-то ПОСТОЯННЫЙ!!!
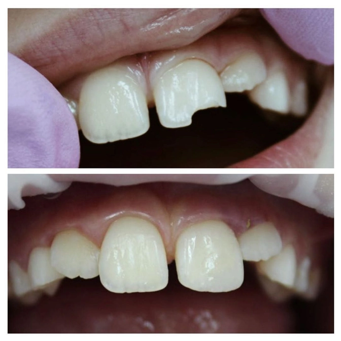
Мальчику 9 лет.
Требуется восстановление, а не ожидание какого-то N-ного количества лет
Обратились, спустя две недели после травмы, т.к. ребенок стал жаловаться на чувствительность зуба, когда ел что-нибудь холодное.
Тот случай, когда эстетика ни родителей, ни ребёнка особо «не парила»
Но раз заболел, нужны меры
Сделали снимок - ни вывиха, ни перелома, ни травматического периодонтита нет - картина чудесная.
✔Зуб отреставрировала и восстановила режущий край.
Все под анестезией
Чувствительность, естественно, пропала!
Ну и бонусом улыбаться можно чуточку шире..
Браво!
✔И напоследок подчеркну, что реставрации детям проводить МОЖНО и НУЖНО.
Ждать какого-то возраста или подходящего момента чревато порой очень печальными последствиями.
Читайте также






