Результаты ор тодонтического лечения открытого прикуса

3 минуты на чтение
3
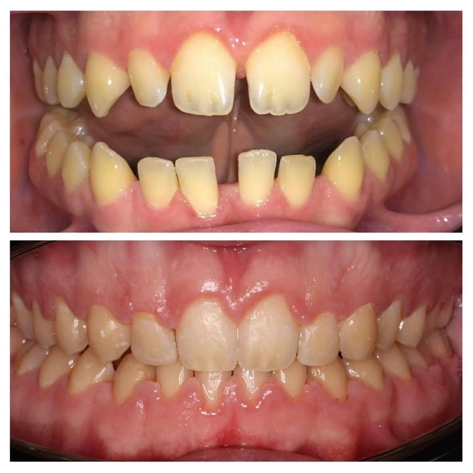
Оба рта закрыты.
Только один до ортодонтического лечения, а второй - после.
А пациент один и тот же.
Только сначала у него был ярко выраженный открытый прикус.
Итак, диагноз — открытый прикус.
Зубы смыкаются только в районе "семерок".
Произошло это из-за гиперфункции языка.
Также это называется инфантильный тип глотания, когда ребенок в процессе прокладывает язык между зубными рядами, тем самым как бы выталкивает зубы наружу и формируется щель.
Случай тяжелый.
Предполагалось хирургическое вмешательство.
Но родители хотели обойтись без таких радикальных мер, поэтому решили сначала попробовать ортодонтическое лечение.
Для этого была установлена брекет-система.
Цель — нормализовать прикус и, по возможности, нейтрализовать все факторы, который привели к такой патологии.
А пока имеем следующее: фото после — результат ношения брекет-систем на обеих челюстях в течение 1,5 лет.
После снятия динамика хорошая.
Пациенту установлены специальные шипы — наклеиваются, как брекеты, на внутреннюю поверхность передних зубов, чтобы создать дискомфорт при прокладывании языка и помочь в нормализации работы мышц.
К слову, пациент живёт и учится в Австрии и прилетает на лечение в Москву.
В нашем Центре довольно много пациентов из других городов и стран.
Расстояние не помеха для качественного лечения.
Если вы не можете приехать лично, то на нашем сайте есть раздел «Онлайн-консультация».
Все подробности по ссылке: https://selyutina.ru/
Или звоните администраторам ????+7-495-125-48-84.
Читайте также






