Реставрация зубов центральной группы

3 минуты на чтение
3
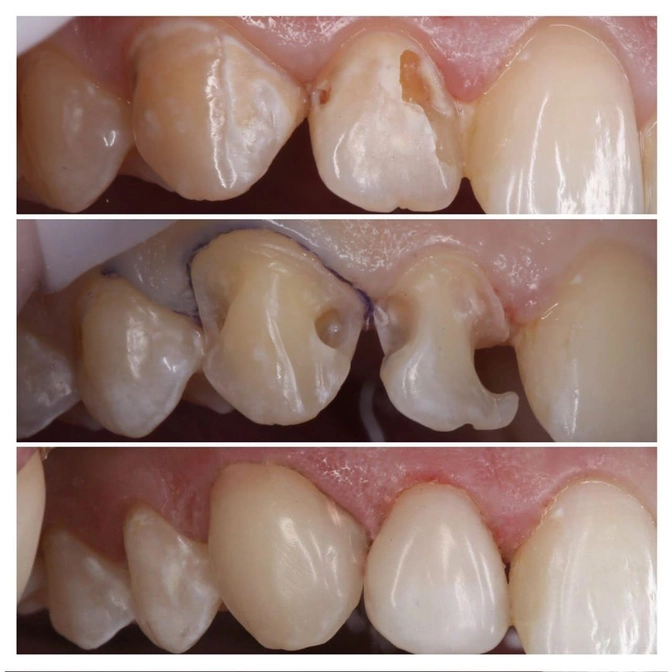
Кто о чем, а я снова о зубах. Сегодня работа специалиста #ЦентрСелютиной доктора Алексея Шокурова.
Рассказываю, как все было:
Пациентка взрослая.
На "двойке" и клыке кариес.
Депульпировать не пришлось!
Хоть полость была ну ооочень глубокой.
Доктор Шокуров оба зуба обработал, убрал пораженные ткани;
Восстановил пломбировочным материалом.
Блеск?
Читайте также






