Реставрация центральных молочных зубов.

3 минуты на чтение
3
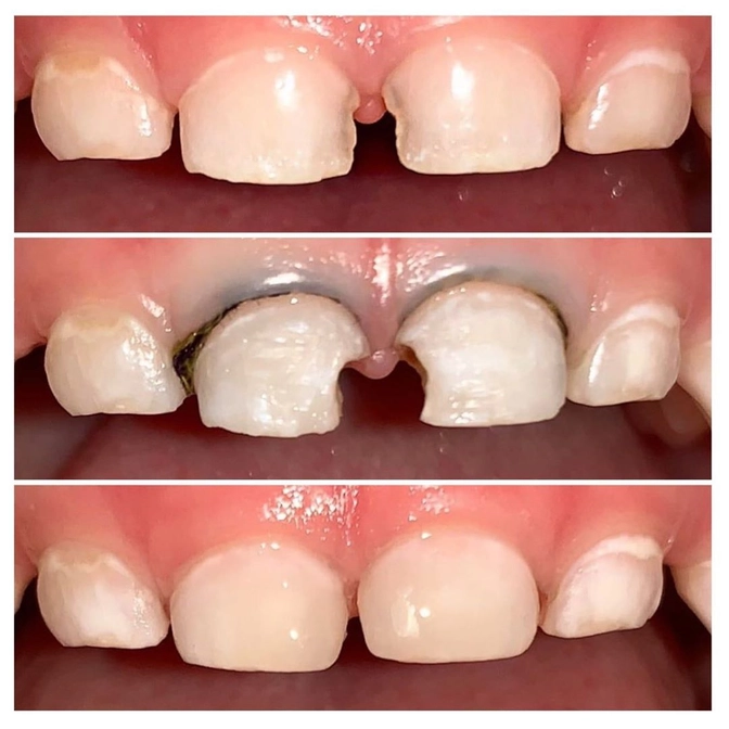
И в то же время на боковых резцах уже появился кариес в стадии пятна.
Работа детского стоматолога Кожемякиной Светланы.
Маленький пациент стойко выдержал все манипуляции.
• Кариес убрали;
• Все почистили;
• Восстановили самым лучшим пломбировочным материалом;
• И отполировали вкусной пастой.
Кариес в стадии пятна на "двойках" оставили под наблюдением.
Рекомендована тщательная домашняя гигиена и каждый день наносить реминерализирующий гель.
А вот чего делать НЕ нужно, так это серебрение!
Оно не спасет, а добавит потом еще больше проблем, писала об этом по тегу.
Самое главное: увидели полосочки на зубах - не теряйте время!
Сразу к врачу и начинайте маниакальный домашний уход, иначе есть риск потерять зубки.
P. S. Напоминаю, что в #ЦентрСелютиной теперь ведут прием двое новых детских стоматологов - Кожемякина Светлана (на фото как раз ее работа) и Долгалёва Алёна.
Обе мои прилежные ученицы и отличницы, за качество их работы я ручаюсь.
Цена приема у них ниже - ловите момент, пока девчонки в начале своей карьерной лестницы!
Читайте также






