Постановка пломб на центральные зубы.

3 минуты на чтение
3
Год назад пришла ко мне на приём пациентка 2х лет и ее мама
Живут в Китае
В Москве наездами к бабушке, раз в полгода в лучшем случае
Девочка клевая, прям не могу
Но невероятно активная и разговорчивая
Посадить ее в кресло - целая история
«У нас,-говорит мама, -гипоплазия»
Видимо, были у других врачей, раз так с порога определили.
Однако, вспомнить, прорезался ли зуб сразу таким, мама не смогла.
А для постановки этого диагноза это гиперважно.
«Вроде нет, не знаю, короче.»
Смотрю (год назад) и понимаю, сопоставив увиденное и потроганное с фактами, и вот не клеится у меня с гипоплазией.
Кстати, напомню, что это порок развития.
Заключаю: все-таки скорее всего произошла травма, наверняка ударилась.
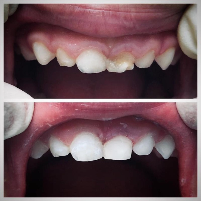
Ткани зуба, ко всему прочему, плотные. Явно без каких-либо проявлений кариеса.
Пломбу ставить без седации не вариант.
Уж слишком активна мадам.
А «давать» наркоз из-за одного зуба тоже жалко.
Решили рискнуть: с горем пополам провели курс глубокого фторирования.
Назначили Домашний уход.
Прошёл год.
Девочка подросла.
Все так же шустро прискакала в Кабинет, закрывая рот руками.
Мама: «Плохо все! Мне кажется, пломба нужна. Чистить не дает СОВСЕМ!»
Осматриваю.
Налееееета вагон!
Понимаю, что не плохо бы зуб отреставрировать.
Пробуем провести чистку.
Все не просто, но по сравнению с тем, что было год назад - небо и земля (имею ввиду поведение во время процедуры)
Да, не в восторге, но управляема.
Мама: «Может, усыпим и сделаем зуб этот?»
Я: «Один зуб все-таки.
Давайте попробуем под местной анестезией?»
Назначили следущий приём.
Попробовали.
Сделали и анестезию, и зуб полечили.
Я довольна.
Девочка тоже.
На соседних зубах - белые пятна.
Это кариес в стадии пятна.
Читайте также






