Почему я против серебрения?

3 минуты на чтение
3
В очередной раз призываю отказаться от этой процедуры!
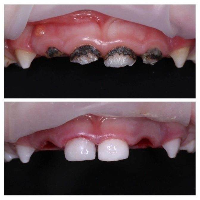
Работа доктора Марии Штельмах.
Малыш прилетел к нам из Магадана.
Ему всего полтора годика, а зубки уже так сильно разрушены.
Сначала у него обнаружился скол на одном зубе и коричневый налет на передних зубах.
В государственной клинике убедили провести серебрение.
И меньше, чем через полгода после этого зубы просто раскрошились!
А над верхним боковым резцом образовался свищ — это значит, что воспаление уже вышло за пределы молочного зуба и угрожает зачатку постоянного.
• Лечили в наркозе.
• Центральные резцы отреставрировали, один из них пролечен от пульпита;
• Боковые верхние резцы пришлось удалить;
• Вылечили 4 кариеса («четверки»).
Лечение длилось 2,5 часа и всё прошло на отлично!
Если у вас есть сомнения по поводу лечения под наркозом, то можете прийти в #ЦентрСелютиной или записаться к нашим специалистам на онлайн-консультацию (на нашем сайте или по телефону: +79265384884 ).
Мы все расскажем и покажем.
Вы узнаете в подробностях об анализах, проведении процедуры и о самом наркозе.
Читайте также






