Почему важно сохранять молочные зубы? Ортодонтический случай.

3 минуты на чтение
3
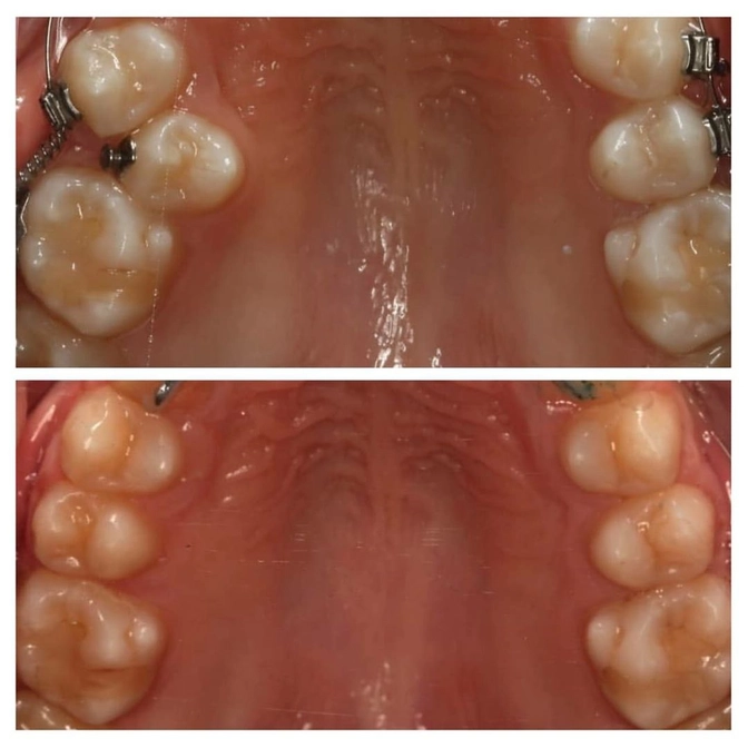
Вроде бы улыбка не вызывает особых вопросов.
Но боковые зубки чуть разъехались.
А ещё..ПОСМОТРИТЕ ФОТО, вы все тогда поймёте.
Это случилось из-за пятого зуба.
Молочную "пятерку" удалили раньше срока по показаниям, а "шестерка" сместилась в сторону образовавшейся пустоты.
Поэтому, постоянному пятому зубу было просто некуда прорезываться, и он сместился в сторону нёба.
А за ним и остальные зубки "ушли в пляс".
Шестые зубы прорезываются сразу постоянными, и происходит это на 5–6 лет раньше, чем появляются постоянные "пятерки".
Поэтому, если зуб утрачен раньше срока, обратитесь к ортодонту, он подскажет, что делать в такой ситуации и как не допустить такого вот смещения зубов.
✔️Работу проводила ортодонт нашей команды Диана Кива.
С помощью брекет-системы она быстро вернула все зубы на свои законные места.
Отличная работа врача и пациента!
Читайте также






