Перекрестный прикус: лечение в сменном прикусе

3 минуты на чтение
3
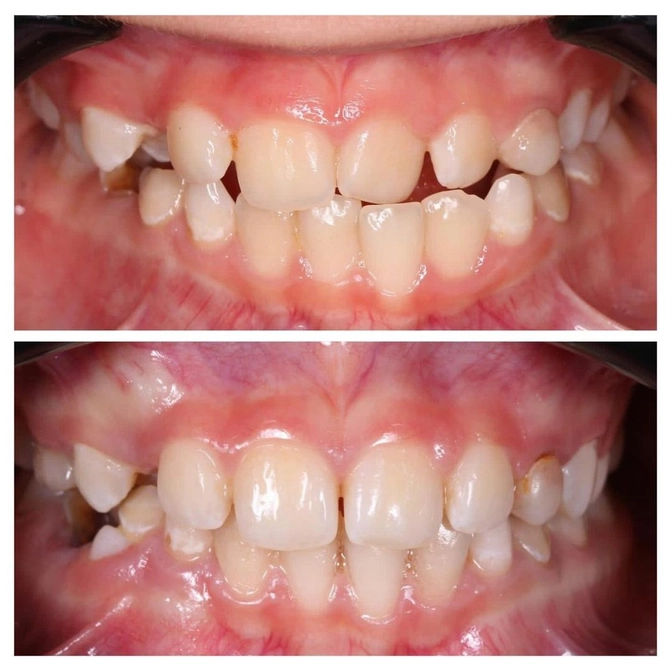
Эта работа в копилке Оксаны Ильиченко (Журавской).
Просто полюбуйтесь, как удалось поставить зубки ребенка на место.
Пациент — ребенок в период сменного прикуса.
Постоянные резцы выросли немного криво и снизу, и сверху.
Прикус перекрестный.
Есть смещение центральной (межрезцовой) линии.
Это произошло из-за преждевременного удаления молочного зуба справа.
Только представьте — весь зубной ряд может "уехать" из-за этого!
Тут деформация уже началась, но родители очень вовремя спохватились и пришли на прием в #ЦентрСелютиной.
Жалобы на неправильное положение зубов.
Как решаем?
Конечно брекетами!
Да, в сменном прикусе тоже можно брекет-систему.
В нашем случае она частичная, т.е. замочки устанавливаются не на все зубы.
За короткий срок доктор Ильиченко и ее пациент смогли улучшить положение зубов на верхней челюсти.
Нормализовали положение центральной линии между верхними и нижними резцами.
Лечение было быстрое и комфортное для ребенка.
Ведь он даже смог выбрать цвет замочков.
Это отлично мотивирует к ортолечению!
Проверено неоднократно!
Перекрестный прикус встречается в практике реже всего.
При этом относится к числу наиболее тяжелых нарушений окклюзии (смыкания) и требует длительного активного ортодонтического лечения и продолжительного ретенционного периода.
Если начать лечение своевременно (до развития дистрофических процессов и необратимых изменений) прогноз благоприятный независимо от возраста пациента.
Всегда обращайте внимание на здоровье молочных зубов, чтобы избежать их преждевременного удаления.
А также следите за дыханием ребенка (особенно если частые риниты, аденоиды) и вредными привычками, чтобы избежать патологий прикуса.
Читайте также






