Ортопедическая реабилитация пациента.

3 минуты на чтение
3
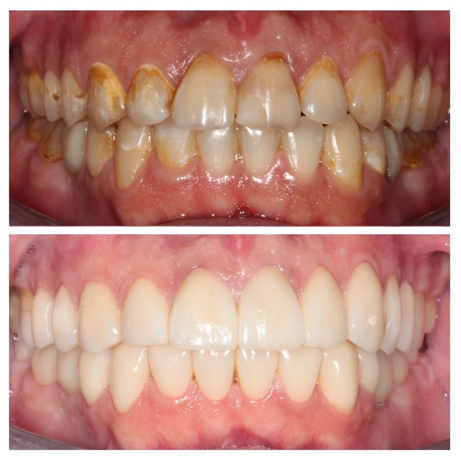
Пациентке 40 лет.
Были жалобы на эстетику и неудобное положение челюсти.
Подход к лечению был комплексным.
✔️Предварительно провели ортодонтическое и терапевтическое лечение.
Внимание на фото:
У пациентки были множественные поражения эмали в пришеечной зоне зубов.
✔️Итого установлено 28 единиц виниров и коронок.
Работу мастерски провел наш замечательный стоматолог-ортопед Денис Фоменко.
Пациентка теперь может общаться с людьми, не стесняясь и блистая красивой, эстетичной улыбкой
Если вы замечаете, что челюсти у вас находятся в неудобном положении, есть хроническая травма слизистых, то рекомендую обратиться к ортопеду.
Его консультация также может понадобиться ПЕРЕД стоматологическим и ортодонтическим лечением, т.к. плохо выполненная пломба, неправильно изготовленный или установленный с ошибками зубной протез являются источниками проблем с прикусом и положением височно-нижнечелюстного сустава.
Функциональный анализ и диагностика у стоматолога-ортопеда позволяют определить проблему с учетом индивидуальных анатомических особенностей пациента.
Это позволяет составить грамотный план лечения и содействует успешному проведению стоматологических процедур.
Читайте также






