Ортодонтическое лечение: заместительная пластинка.

3 минуты на чтение
3
Лучше один раз показать, чем сто раз объяснять все на пальцах.
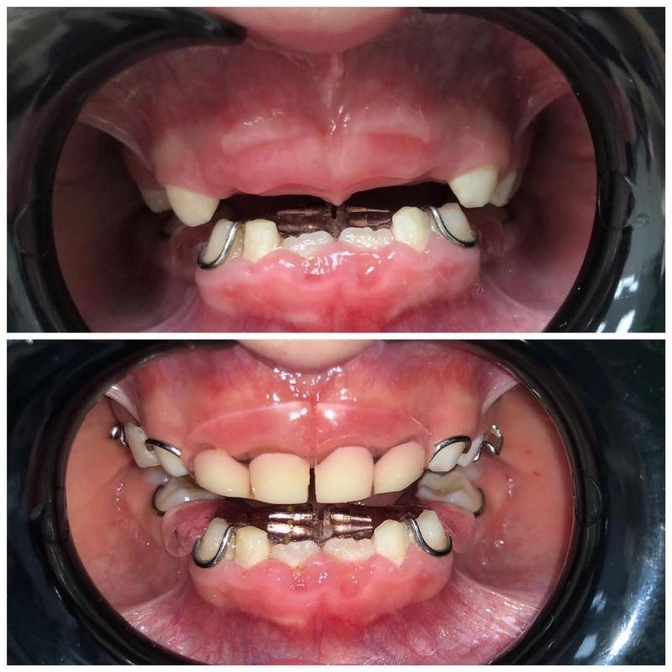
Итак, девочке 4,5 года
Из явного: отсутствуют 4 центральных зуба.
Их удалили из-за того, что вовремя не пролечили.
И зубы разрушились до состояния «лечить нельзя, удалять!»
И далее последовало:
- проблемы с речью,
- стеснения перед сверстниками
- риск смещения зубов, ограничивающих дефект, в его сторону
- патологические изменения прикуса
Наш ортодонт назначила изготовление заместительной пластинки на верхнюю челюсть.
Вот так это выглядит.
Это индивидуально изготовленный аппарат с пластмассовыми зубами в составе.
Внешне напоминает протез, который носят бабушки-дедушки.
Только детская пластинка намного меньше.
Для изготовления таких пластинок требуется:
1) снятие слепка зубов ребенка
2) время для лабораторных работ (в среднем 1-2 недели).
Ещё обратите внимание на нижнюю челюсть.
Два центральных зуба уже поменялись на постоянные.
Смена довольно ранняя (напомню: ребёнку 4.5, а эти зубы начинают меняться в среднем в 6 лет)
Однако, такая тенденция сегодня не редкость.
Ещё: Смотрите, какие волнистые края у этих новых зубов.
Это абсолютная норма, такими прорезаются зубы у всех без исключения.
Потом эти края немного стираются и все становится ровненько.
На нижней челюсти тоже установлен пластиночный аппарат.
Цель его ношения - стимулирование роста челюсти, чтобы зубам было не тесно.
Вот такая занимательно-наглядная стоматология.
Итак, девочке 4,5 года
Из явного: отсутствуют 4 центральных зуба.
Их удалили из-за того, что вовремя не пролечили.
И зубы разрушились до состояния «лечить нельзя, удалять!»
И далее последовало:
- проблемы с речью,
- стеснения перед сверстниками
- риск смещения зубов, ограничивающих дефект, в его сторону
- патологические изменения прикуса
Наш ортодонт назначила изготовление заместительной пластинки на верхнюю челюсть.
Вот так это выглядит.
Это индивидуально изготовленный аппарат с пластмассовыми зубами в составе.
Внешне напоминает протез, который носят бабушки-дедушки.
Только детская пластинка намного меньше.
Для изготовления таких пластинок требуется:
1) снятие слепка зубов ребенка
2) время для лабораторных работ (в среднем 1-2 недели).
Ещё обратите внимание на нижнюю челюсть.
Два центральных зуба уже поменялись на постоянные.
Смена довольно ранняя (напомню: ребёнку 4.5, а эти зубы начинают меняться в среднем в 6 лет)
Однако, такая тенденция сегодня не редкость.
Ещё: Смотрите, какие волнистые края у этих новых зубов.
Это абсолютная норма, такими прорезаются зубы у всех без исключения.
Потом эти края немного стираются и все становится ровненько.
На нижней челюсти тоже установлен пластиночный аппарат.
Цель его ношения - стимулирование роста челюсти, чтобы зубам было не тесно.
Вот такая занимательно-наглядная стоматология.
Читайте также






