Ортодонтическое лечение в сменном прикусе.

3 минуты на чтение
3
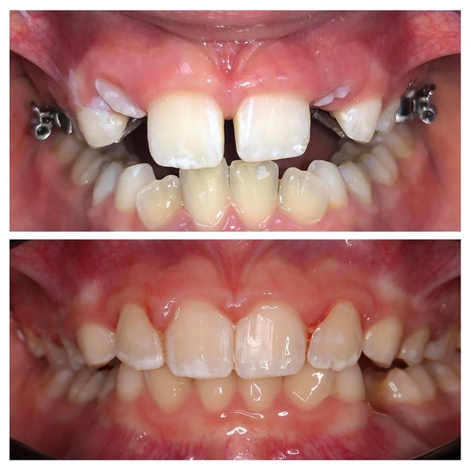
Блестящая работа нашего ортодонта Оксаны Ильиченко.
Пациенту 8,5 лет.
Имеется сильное сужение зубных рядов и дефицит места для центральных и боковых резцов, особенно на верхней челюсти.
Сопутствующее заболевание - аденоиды.
Сейчас оно в ремиссии, но ранее были периоды частого обострения.
Это стало отягощающим фактором в формировании такой зубной аномалии.
Этапы лечения:
• Поставили несъемный аппарат Марко Росса (он же Haas, ниже в ленте есть видео с принципом его действия), чтобы стимулировать рост верхней челюсти.
• Дождались, когда боковые резцы прорежутся и опустятся.
• Затем подключили частичную брекет-систему 2*4 - в работу включаются 4 передних резца и 2 жевательных зуба.
• Как только зубы встали на место, все конструкции сняли и закрепили передние 4 резца ретейнерами.
✔Ретейнеры снимем, когда прорежутся постоянные клыки, и все 4 передних зуба будут стабильно стоять в ряду.
Это займет около года.
Обратите внимание, что вся работа ведется только с верхней челюстью.
Но на нижней тоже имеется скученность.
Что делаем, доктор?
А ничего)
Просто ждем самоадаптации.
Потому что расширяя верхний зубной ряд, мы высвобождаем потенциал роста для нижней челюсти.
Читайте также






