Ортодонтическое лечение в случае задержки развития нижней челюсти.

3 минуты на чтение
3
Тот случай, когда рекомендации выполнялись четко и привели к быстрому и эффективному результату.
Девочке 11 лет.
Пришла она с жалобами на неправильный прикус и затрудненное пережевывание пищи.
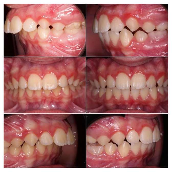
Ортодонт нашей команды Оксана Журавская поставила диагноз: дистальный прикус, задержка развития нижней челюсти, глубокая травматическая окклюзия.
Из анамнеза стало ясно, что причины две:
• длительное сосание пальца в детстве;
• и аденоиды.
Прикус у пациентки сменный - то есть не все молочные зубы еще сменились на постоянные.
✔Поэтому было решено провести лечение на аппарате твин-блок.
Он нужен для того, чтобы развить нижнюю челюсть.
Установили его в ноябре 2019 года и уже в июне этого года сняли.
Нижняя челюсть выдвинулась и зубы сомкнулись в правильном положении.
На фото результат До и После.
Впечатляет?
✔Девочка отлично справилась, носила аппарат согласно рекомендациям и вовремя посещала плановые приемы.
Быстрый результат и 100%-ная кооперация врача и пациента!
Далее в постоянном прикусе ей предстоит лечение на брекет-системе, т.к. имеется неправильный наклон передних зубов нижней и верхней челюстей (бипротрузия).
Читайте также






