Ортодонтическое лечение у подростка

3 минуты на чтение
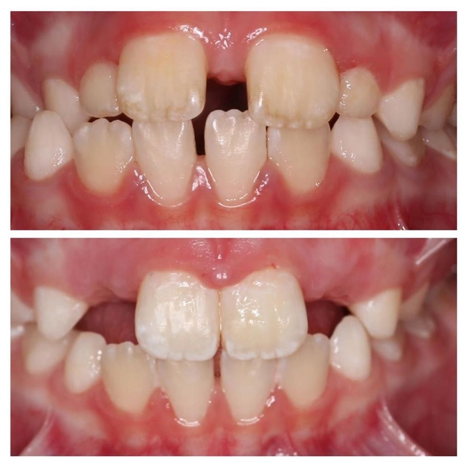
3
Всего за 6 месяцев "собрали" зубки и «подготовили» место для боковых Резцов.
За время лечения молочные «боковушки» выпали, а постоянным теперь есть куда прорезаться.
Над прикусом тоже поработали.
Диастему (промежуток между центральными зубами) все заметили?
Помимо этого у пациента перекрестный прикус - нижняя челюсть смещена вправо относительно верхней.
Важно вовремя начать лечение, иначе.. Впрочем, об этом читайте ниже.
Почему возникла такая патология?
Во-первых, у пациента аденоиды, дышит ртом.
Во-вторых, есть привычка подкладывать руку под щеку.
В сумме имеем "уехавшую" челюсть.
Лечение:
• Поставили аппарат Хаас для быстрого нёбного расширения.
• На верхние резцы установили частичную брекет-систему - да, так можно!
Прошло примерно полгода и вуаля! Зубки ровненько по центру.
Великолепная работа нашего ортодонта Оксаны Журавской.
Если не вовремя начать лечение, то перекрестный прикус может вызвать следующие осложнения:
• Смещение нижней челюсти в сторону;
• Нарушения смыкания зубов;
• Дисфункция и неправильное положение головки в височно-нижнечелюстном суставе;
• Неправильная работа мышц;
• Затруднение при открывании и закрывании рта;
• Нарушение речи;
• Асимметрия лица.
Иногда для исправления перекрестного прикуса необходим более комплексный подход с привлечением других специалистов — остеопата, стоматолога-хирурга, стоматолога-терапевта, логопеда, отоларинголога и других.
Профилактика ортодонтических патологий делится на первичную и вторичную.
1. Первичная включает в себя меры по предотвращению появления патологии прикуса:
- выявление групп риска;
- диспансерное наблюдение;
- отказ от вредных привычек и факторов, влияющих на полноценное развитие челюстно-лицевой области.
2. Вторичная профилактика направлена на то, чтобы не допустить развития осложнений уже существующей патологии.
Для уменьшения факторов риска рекомендуется:
- соблюдать гигиену полости рта;
- своевременно проходить осмотры у стоматолога и отоларинголога;
- тщательно ухаживать за молочными зубами ребёнка (в том числе и вовремя лечить);
- при раннем удалении зубов — обязательно наблюдаться у ортодонта.
Читайте также






